Breast Fibromatosis

  • Breast fibromatosis:
    • May occur sporadically or:
      • Less commonly, in patients with a germline syndrome
    • Mutations in the beta-catenin gene (CTNNB1):
      • Are found in about 45% of fibromatosis:
        • Whereas mutations in other components of the same pathway, such as in:
          • The adenomatous polyposis coli gene (APC) or 5q loss occur in about 30%:
            • The APC mutation is associated with Gardner syndrome:
              • Desmoid tumors
              • Osteomas
              • Colon adenomas, and other tumors
            • Familial adenomatous polyposis (FAP1) syndromes
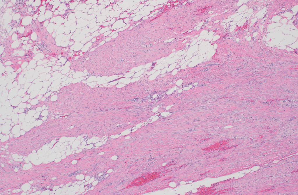
Core biopsy section showing spindle cell formation.
  • References
    • Lee A, Gobbi H. Desmoid type fibromatosis In: Lakhani SR, Ellis IO, Schnit SJ, Tan PH, van de Vijver MJ. eds. WHO Classification of Tumours of the Breast. Lyon: IARC Press, 2012:131-132.
    • Schnitt SJ, Collins L. Biopsy Interpretation of the Breast. 3rd edition. Philadelphia, PA: Wolters Kluwer, 2018: 412-416.
    • Kuba MG, Lester SC, Giess CS, Bertagnolli MM, Wieczorek TJ, Brock JE. Fibromatosis of the breast: diagnostic accuracy of core needle biopsy. Am J Clin Pathol. 2017;148(3):243-250.
    • Kim T, Jung EA, Song JY, Roh JH, Choi JS, Kwon JE, et al. Prevalence of the CTNNB1 mutation genotype in surgically resected fibromatosis of the breast. Histopathology. 2012;60(2):347-56.

Leave a comment