Breast Hamartoma

Pathologic sections of a 3 cm circumscribed mass. Arrow shows the thin capsule.
  • Histologic section shows non-atypical breast ducts and lobules scattered amongst fibrofatty stroma:
    • With a circumscribed border (arrow shows thin capsule):
      • These features are characteristic of mammary hamartoma:
        • Alternately termed:
        • Fibroadenolipoma
          • Adenolipoma)
  • Hamartomas:
    • Are characterized by normal breast elements in disordered distribution:
      • May harbor other benign findings such as:
        • Pseudoangiomatous stromal hyperplasia (PASH)
        • Apocrine metaplasia
    • The so-called “myoid hamartoma” includes”:
      • Smooth muscle
    • It may be very difficult to recognize and diagnose mammary hamartomas on core biopsy, given the normal constituents:
      • Yet the radiologic appearance of hamartoma is characteristic and is said to resemble “breast within breast”
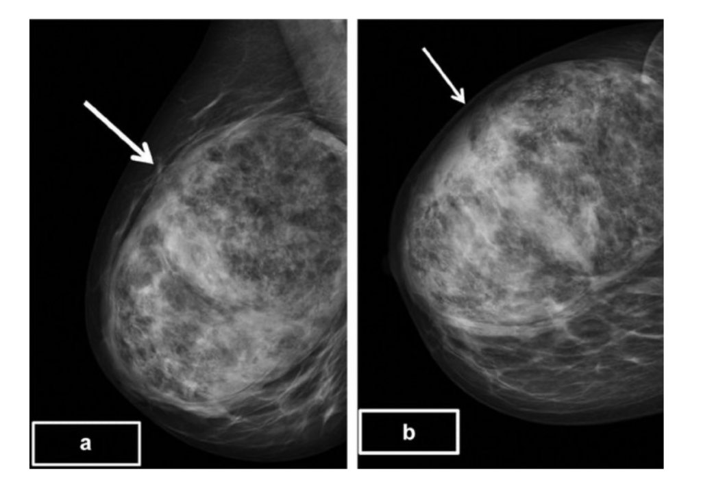
(a) and (b) – Digital mammograms, medio-lateral oblique (MLO) and cranio-caudad (CC) projections of the right breast showing an large ovoid, encapsulated mass lesion with a ‘breast ] within a breast’ appearance. 
  • Hamartomas are benign breast lesions
  • References:
    • Schnitt SJ, Collins L. Biopsy Interpretation of the Breast. 3rd edition. Philadelphia, PA: Wolters Kluwer, 2018:196-198.
    • Tan PH, Tse G, Lee A, et al. Fibroepithelial tumours. In: Lakhani SR, Ellis IO, Schnit SJ, Tan PH, van de Vijver MJ. eds. WHO Classification of Tumours of the Breast. Lyon: IARC Press, 2012: 147.
    • Tse GM, Tan PH, Lui PC, Putti TC. Spindle cell lesions of the breast–the pathologic differential diagnosis. Breast Cancer Res Treat. 2008;109(2):199-207.
    • Amir RA, Sheikh SS. Breast hamartoma: a report of 14 cases of an under-recognized and under-reported entity. Int J Surg Case Rep. 2016;22:1-4.

Leave a comment