- Is a fibroepithelial lesion with rapid growth in an adolescent:
- The histologic features of:
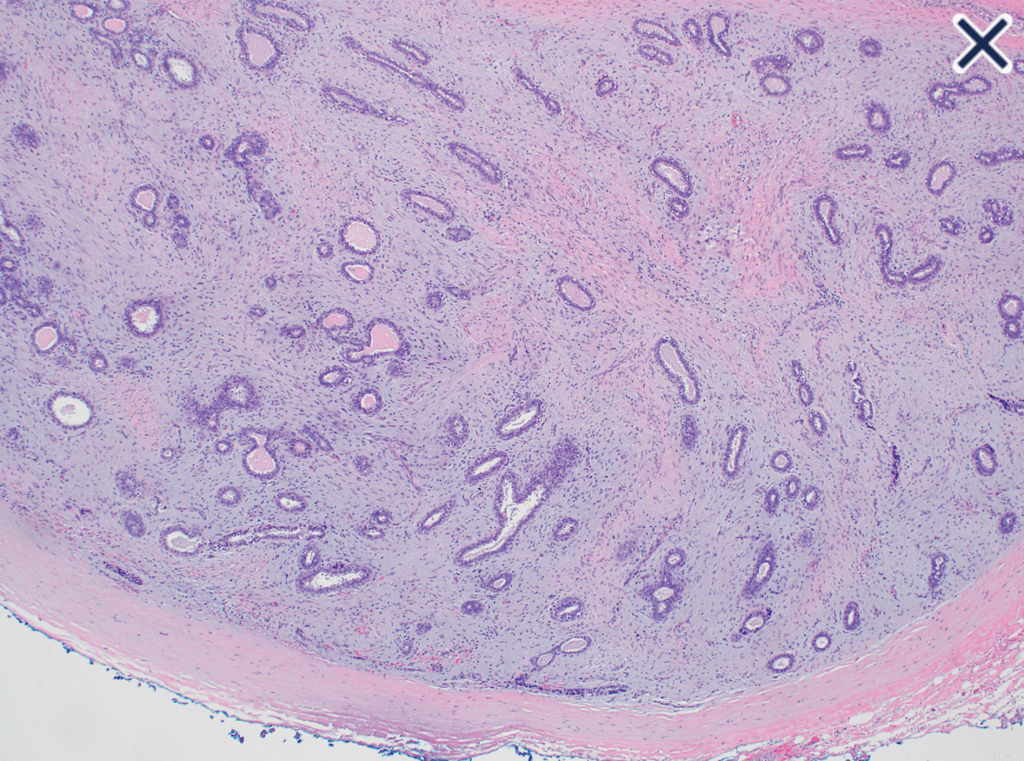
- Increased stromal cellularity with pericanalicular architecture:
- Nodular stroma around non-compressed open duct-like structures)
- So-called gynecomastoid hyperplasia:
- Are characteristic of juvenile fibroadenomas
- Increased stromal cellularity with pericanalicular architecture:
- Gynecomastoid hyperplasia:
- Refers to non-atypical epithelial proliferation with tufted architecture
- The histologic features of:
- Phyllodes tumors:
- Comprise only about 5% of pediatric fibroepithelial neoplasms:
- Can be difficult to distinguish from juvenile fibroadenomas
- In the pediatric population:
- Both juvenile fibroadenomas and phyllodes tumors:
- May have increased stromal cellularity and rudimentary or focal leaf-like architecture
- Tan et al:
- Did not find that focal leaf-like architecture or stromal hypercellularity:
- Correlated with recurrence in pediatric fibroepithelial lesions
- Did not find that focal leaf-like architecture or stromal hypercellularity:
- Yet other studies suggested that:
- Tumors with greater than two mitotic figures per 10 high power fields:
- Have a greater recurrence rate
- Tumors with greater than two mitotic figures per 10 high power fields:
- Both juvenile fibroadenomas and phyllodes tumors:
- Comprise only about 5% of pediatric fibroepithelial neoplasms:

- Some have used the terms “juvenile” and “giant” fibroadenoma synonymously:
- While others have used “giant”:
- To describe particularly large fibroadenomas (> 5 cm)
- While others have used “giant”:

- References:
- Tan PH, Tse G, Lee A, et al. Fibroepithelial tumours. In: Lakhani SR, Ellis IO, Schnit SJ, Tan PH, van de Vijver MJ,. eds. WHO Classification of Tumours of the Breast. Lyon: IARC Press, 2012:142-143.
- Schnitt SJ, Collins L. Biopsy Interpretation of the Breast. 3rd edition. Philadelphia, PA: Wolters Kluwer, 2018: 180-193.
- Tay TK, Chang KT, Thike AA, Tan PH. Paediatric fibroepithelial lesions revisited: pathological insights. J Clin Pathol. 2015;68(8):633-641.
- Krings G, Bean GR, Chen YY. Fibroepithelial lesions; The WHO spectrum. Semin Diagn Pathol. 2017;34(5):438-452.
#Arrangoiz #BreastSurgeon #CancerSurgeon #SurgicalOncologist #JuvenileFibroadenomas #Fibroadenomas #Teacher #BreastCancer Miami #Mexico
