Imaging in Oral Cavity Cancer

The proximity or direct extension of a primary tumor of the oral cavity to the mandible requires appropriate radiological studies to establish the presence and extent of bone involvement:

  • Although the absence of radiographic findings does not rule out bone invasion:

    • Bone destruction as seen on the radiograph confirms tumor invasion

  • Radionuclide bone scans:
    • Often are positive before the radiographic appearance of bone destruction:
      • But they seldom provide accurate information regarding the extent of bone invasion
    • Bone scans also may be positive in non-neoplastic conditions:
      • Such as inflammatory lesions
  • Plain radiographs of the mandible in the antero-posterior and oblique views:
    • Are not satisfactory as a routine screening test to establish or rule out bone destruction
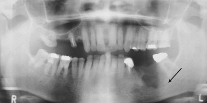
  • A panoramic view of the mandible (an orthopantomogram):
    • Is helpful to assess the general architecture of the mandible in relation to the dento-alveolar structures and invasion by the tumor (Figure)

B9780323055895000081_f008-028-9780323055895

  • However, for technical reasons:

    • The midline of the mandible near the symphysis is not adequately evaluated by a panoramic view

    • In addition, early invasion of the lingual cortex of the mandible is not seen on a panoramic view

    • Occlusal films of the body of the mandible and intraoral dental films:

      • Often are most accurate in demonstrating early invasion by a tumor


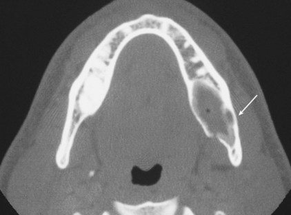
  • CT scans of the mandible:
    • Generally are not optimal for routine screening:
      • But may be considered in certain circumstances:
        • Such as primary tumors of the mandible and lesions where soft tissue extension from tumors involving the ascending ramus of the mandible is suspected (Figure)

B9780323055895000081_f008-029-9780323055895

Three-dimensional reconstructions of CT images provide an excellent overview of the mandible or maxilla from any desired angle

  • A computerized tomogram of the oral cavity and neck:
    • Is the standard initial radiographic study for assessment of locoregional extent of the tumor
    • It allows comprehensive evaluation of neck nodes and also the relationship of the primary tumor to adjoining bone:
      • Especially in situations such as primary tumors of the mandible and lesions where soft-tissue extension from tumors involving the ascending ramus of the mandible is suspected
  • Three-dimensional reconstructions of the mandible of a patient with an ossifying fibroma of the body of the mandible on the left-hand side causing expansion and involving the lingual cortex are shown in the Figures


 

Philadelphia Illustration Dept./Elsevier
Philadelphia Illustration Dept./Elsevier

 

  • A three-dimensional CT scan and a one-to-one reproduction of the CT scan:

    • Are of great value to the surgeon for mandible reconstruction with a microvascular free flap

Leave a comment