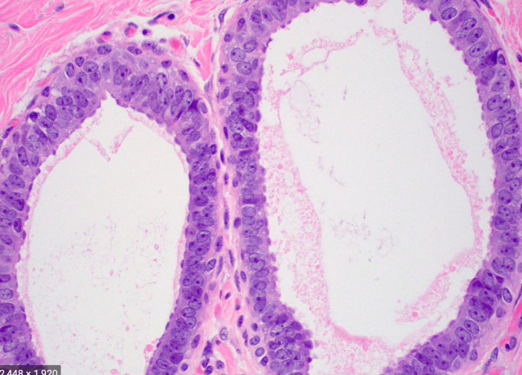
Flat Epithelial Atypia

  • Flat epithelial atypia:
    • Confers a relative risk of developing breast cancer of:
      • Approximately 1.5
    • Excisional biopsy may be indicated if:
      • Calcifications are incompletely removed or 
      • If there is question of sampling error:
        • But excision to negative margins is not required
    • The probability of finding a concurrent invasive carcinoma is:
      • Approximately 1% to 5% when flat epithelial atypia is found on core needle biopsy:
        • Given the small (less than two-fold) associated increase in breast cancer risk:
          • Chemoprevention is not indicated nor is routine annual screening breast MRI
  • References:
    • Sudarshan M, Meguerditchian AN, Mesurolle B, Meterissian S. Flat epithelial atypia of the breast: characteristics and behaviors. Am J Surg. 2011;201(2)245-250.
    • Piubello Q, Parisi A, Eccher A, Barbezeni G, Franchini Z, Iannucci A. Flat epithelial atypia on core needle biopsy: which is the right management? Am J Surg Pathol. 2009;33(7):1078-1084.
    • Martel M, Barron-Rodriguez P, Tolgay Ocal I, Dotto J, Tavassoli FA. Flat DIN 1 (flat epithelial atypia) on core needle biopsy: 63 cases identified retrospectively among 1,751 core biopsies performed over an 8-year period (1992-1999). Virchow’s Arch. 2007;451(5):883-891.
    • Lamb LR, Bahl M, Gadd MA, Lehman CD. Flat epithelial atypia: upgrade rates and risk-stratification approach to support informed decision making. J Am Coll Surg. 2017;225(6):696-701.

Leave a comment