- The clinical hallmarks of Paget’s disease of the breast are:
- Scaling, erythema, and / or ulceration of the nipple sometimes extending to the areola

- Because the main differential diagnosis for this clinical presentation is eczema:
- A short course of topical steroids is an appropriate initial step:
- Failure to resolve should prompt tissue biopsy by punch or wedge technique and not additional steroid therapy
- A short course of topical steroids is an appropriate initial step:
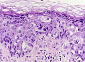
- Pathology revealing adenocarcinoma cells within the epidermis (Paget cells):
- Confirms the diagnosis

- HER2 amplification:
- Is found in 60% to 90% of cases of Paget’s disease of the breast:
- But the patient should be fully evaluated prior to making decisions regarding the need for targeted therapy
- Is found in 60% to 90% of cases of Paget’s disease of the breast:
- Appropriate diagnostic imaging includes:
- Mammography, ultrasound, and / or breast MRI:
- As Paget’s disease is associated with an underlying malignancy 85% of the time
- Mammography, ultrasound, and / or breast MRI:
- The appropriate surgical management of Paget’s disease is:
- Breast conservation with central mastectomy (resection of the nipple-areolar complex) with resection of the primary tumor and irradiation or mastectomy
- References
- Chen CY, Sun LM, Anderson BO. Paget disease of the breast: changing patterns of incidence, clinical presentation, and treatment in the U.S. Cancer. 2006;107(7):1448-1458.
- Killelea BK, Chagpar AB, Horowitz NR, Lannin DR. Characteristics and treatment of human epidermal growth factor receptor 2 positive breast cancer: 43,485 cases from the National Cancer Database treated in 2010 and 2011. Am J Surg. 2017;213(2):426-432.
- Caliskan M, Gatti G, Sosnovskikh I, et al. Paget’s disease of the breast: the experience of the European Institute of Oncology and review of the literature. Breast Cancer Res Treat. 2008;112(3):513-521.
#Arrangoiz #BreastSurgeon #CancerSurgeon #PagetDiseaseoftheBreast #CASO #CenterforAdvancedSurgicalOncology #Miami

