
- Mucoepidermoid carcinoma (MEC) is the most common malignant neoplasm of the mayor and minor salivary glands:
- They encompass between 2.8% to 15.5% of all salivary gland tumors
- They represent 12% to 35% of malignant salivary gland tumors
- They encompass 6.5% to 41% of all minor salivary gland tumors:
- Representing the most common type of malignant minor salivary gland tumor in most series:
- Other series mention that adenoid cystic carcinoma is the most common malignant minor salivary gland tumor
- Representing the most common type of malignant minor salivary gland tumor in most series:
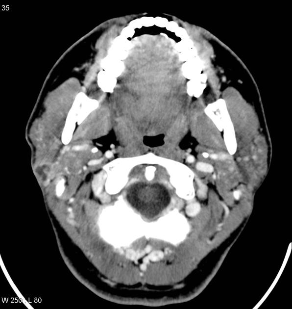
- Approximately half of the cases of MEC occur in the major salivary glands:
- 65% to 80% of these occur in the parotid
- 8% to 13% occur in the submandibular gland
- 2% to 4% involve the sublingual gland



- MEC of the minor salivary glands ordinarily arises on the palate:
- But a number may also be found in the:
- Retro molar area, floor of the mouth, buccal mucosa, lip, and tongue
- But a number may also be found in the:
- Its prevalence is highest in the fourth to fifth decade of life:
- 35 to 65 years of age:
- With a female preponderance as high as 4:1
- 35 to 65 years of age:
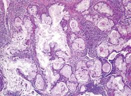
- Grossly:
- The tumor is poorly circumscribed
- Measures from 3 to 5 cm

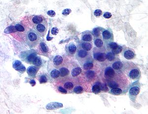
- Histologically:
- They are characterized by a mixed population of cells:
- Including, mucin-producing cells, epidermoid cells with squamoid differentiation, clear cells, and intermediate cells that may predominate in numbers and are believed to be the progenitor of the other types of cells:
- No myoepithelial cells are present
- Including, mucin-producing cells, epidermoid cells with squamoid differentiation, clear cells, and intermediate cells that may predominate in numbers and are believed to be the progenitor of the other types of cells:
- They are characterized by a mixed population of cells:


- The clinical behavior of MEC has proved to be difficult to predict but correlations to tumor grade and stage have been reported:
- The histologic features that are most useful in predicting the aggressive nature of these tumors are:
- A minor cystic component (less than 20%)
- Tumor necrosis
- Neural invasion
- Cellular anaplasia
- Brisk mitotic activity
- Based on the presence or absence of these features and the clinical behavior, MEC are classified as:
- Low, intermediate, and high grade:
- Low-grade MEC are well circumscribed, with pushing margins and dilated cystic areas containing mucin:
- Mucin- producing, intermediate, or epidermoid cells make up the lining of these cystic structures.
- Low-grade MEC are well circumscribed, with pushing margins and dilated cystic areas containing mucin:
- Low, intermediate, and high grade:
- The histologic features that are most useful in predicting the aggressive nature of these tumors are:

- As the grade worsens:
- The tumors become more infiltrative, poorly circumscribed, cystic formations are lost, and nests of tumor become more solid and irregular with intermediate or epidermoid cells dominating.
- High-grade MEC are characterized by:
- The invasion of adjacent structures
- Atypical, brisk mitoses
- Tumor necrosis
- Perineural invasion
- Cellular anaplasia
- Lymph node (40% to 50%) metastasis
- Distant metastases (33%).
- These high-grade lesions are differentiated from primary of metastatic squamous cell carcinoma by the presence of intracellular mucin:
- Sebaceous and clear cell carcinomas are additional differential diagnosis to consider.
- These high-grade lesions are differentiated from primary of metastatic squamous cell carcinoma by the presence of intracellular mucin:

Rodrigo Arrangoiz MS, MD, FACS a head and neck surgeon / surgical oncologist and is a member of Sociedad Quirúrgica S.C at the America British CowdrayMedical Center in Mexico City:
-
Articles and book chapters published by Dr. Arrangoiz on salivary gland neoplasms:
-
Rodrigo Arrangoiz, Pavlos Papavasiliuo, David Sarcu, Thomas J. Galloway, John A. Ridge, Miriam Lango. Current Thinking on Malignant Salivary Gland Neoplasms. Journal of Cancer Treatment and Research. Vol. 1, No. 1, 2013, pp. 8-24. doi: 10.11648/j.jctr.20130101.12
- Malignant Salivary Gland Neoplasms Literature Review
-
-
He is an expert in the management of salivary gland neoplasms:
-
If you have any questions about salivary gland neoplasms please fill free to ask Dr. Arrangoiz
-
Training:
• General surgery:
• Michigan State University:
• 2004 al 2010
• Surgical Oncology / Head and Neck Surgery / Endocrine Surgery:
• Fox Chase Cancer Center (Filadelfia):
• 2010 al 2012
• Masters in Science (Clinical research for health professionals):
• Drexel University (Filadelfia):
• 2010 al 2012
• Surgical Oncology / Head and Neck Surgery / Endocrine Surgery:
• IFHNOS / Memorial Sloan Kettering Cancer Center:
• 2014 al 2016
#Arrangoiz
#HeadandNeckSurgeon
#SurgicalOncologist
#Surgeon
#CancerSurgeon
#CirujanodeCabezayCuello
#CirujanoOncologo




