Diabetic Mastopathy

  • Diabetic mastopathy, also known as “lymphocytic mastopathy” or “sclerosing lymphocytic lobulitis”:
    • Is an uncommon mass-forming lesion seen in patients with insulin-dependent (type 1) diabetes mellitus:
      • Particularly in those who have long-standing disease with microvascular complications.
    • Diabetic mastopathy most often occurs in premenopausal women.
    • The typical presentation is a palpable unilateral mass.
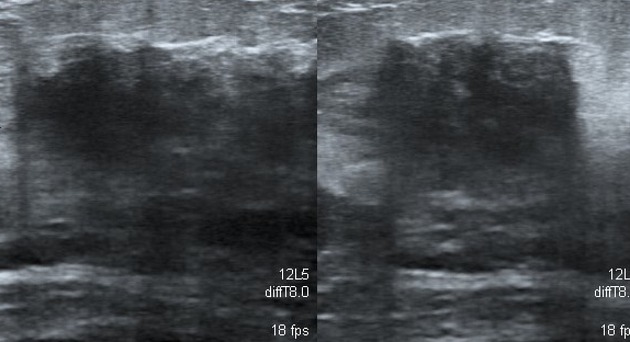
    • The mammographic and sonographic features of diabetic mastopathy may be suspicious for malignancy:
      • Mammography may reveal an ill-defined mass, distortion, or dense glandular breast tissue
      • Ultrasound may show an irregular hypoechoic mass with posterior shadowing.

unknown-1diabetic-fibrous-mastopathy-breast-xray72004d613f0fdcb31dd3b59df60c34_big_gallery

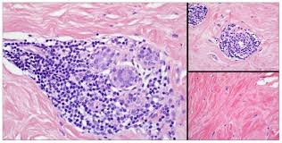
  • The characteristic constellation of findings in diabetic mastopathy includes:
    • Lymphocytic lobulitis and ductitis
    • Lymphocytic perivasculitis
    • Stromal fibrosis with epithelioid fibroblasts.
    • Lymphocytic infiltrates, which can be fairly dense:
      • Surround ducts, lobules, and small vessels
      • May sometimes be associated with plasma cells
    • Immunohistochemical characterization of these infiltrates reveals mature B-lymphocytes with a small population of T cells.
    • Germinal centers are not typically seen here.
    • Involved lobules may be atrophic or unremarkable.
    • The stroma in diabetic mastopathy is dense and has a keloidal appearance.
    • Intrastromal epithelioid fibroblasts appear as plump cells with eosinophilic cytoplasm.
    • Nuclei are oval to round with vesicular nuclei:
      • Neither significant nuclear atypia nor mitotic figures are seen.
    • The distribution of fibroblasts within the stroma can be heterogeneous, and show a whorled or nodular growth pattern.

diabetic-fibrous-mastopathy-blueunknown

 

Rodrigo Arrangoiz MS, MD, FACS a surgical oncologist and is a member of Sociedad Quirúrgica S.C at the America British Cowdray Medical Center in Mexico City:

  • He is an expert in the management of breast cancer.

    • If you have any questions about diabetic mastopathy please fill free to contact Dr. Arrangoiz.

Training:

• General surgery:

• Michigan State University:

• 2004 al 2010

• Surgical Oncology / Head and Neck Surgery / Endocrine Surgery:

• Fox Chase Cancer Center (Filadelfia):

• 2010 al 2012

• Masters in Science (Clinical research for health professionals):

• Drexel University (Filadelfia):

• 2010 al 2012

• Surgical Oncology / Head and Neck Surgery / Endocrine Surgery:

• IFHNOS / Memorial Sloan Kettering Cancer Center:

• 2014 al 2016

Leave a comment