Micro invasive Breast Cancer

  • In 1982, Lagios et al. introduced the term “microinvasion” in breast pathology as synonymous with invasion less than 1 mm.
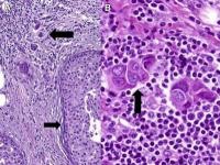
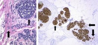
    • Microinvasive carcinoma is characterized by the extension of cancer cells beyond the in-situ component (ductal carcinoma in situ and lobular carcinoma in situ) into the adjacent breast tissue with no focus more than 0.1 cm in greatest dimension Figure.
      When there are multiple foci of microinvasion, only the size of the largest focus is used to classify the lesion, and the size of the individual foci should not be added together.
      Lesions that fulfill this definition are staged T1mic.
      The tumor focus/foci must invade into non-specialized interlobular or interductal stroma.
      The cells deemed to be invasive must be distributed in a non-organoid pattern that does not represent tangential sectioning of a duct or a lobular structure with in-situ carcinoma.
      Tangentially sectioned in-situ carcinoma foci that simulate microinvasion are distributed in the specialized intralobular and periductal stroma and usually occur as compact groups of tumor cells that have a smooth border surrounded by a circumferential layer of myoepithelial cells and stroma or a thickened basement membrane.
      At sites of microinvasion, tumor cells are distributed singly or as small groups that have irregular shapes reminiscent of conventional invasive carcinoma with no particular orientation.
  • Leave a comment