A. Background
1. Carcinoma of the buccal mucosa is relatively uncommon in North America, compared with other oral cavity cancers such as carcinomas of the tongue or floor of the mouth.
2. Squamous cell carcinoma is the most common pathology (more than 90% of the cases) and more prevalent in those who use tobacco and alcohol.
B. Problem:
1. As the orifice of the upper aerodigestive tract, the oral cavity plays a critical role in breathing, speech, and swallowing.
2. The buccal region is particularly important in bolus formation, preventing food from spilling into the lateral oral gutters or extraorally during the oral preparatory phase of swallowing.
3. Cancer of the buccal mucosa and subsequent treatment of the disease may interfere with these functions.
4. Buccal carcinoma has the propensity to become aggressive, with high rates of locoregional recurrence.
5. Diagnosis and treatment at an early stage leads to significantly improved prognosis and function over advanced disease.
C. Epidemiology:
1. Squamous cell carcinoma of the buccal mucosa accounts for 5% to 10% of all cancers of the oral cavity in North America and Western Europe.
2. It occurs more often in men, with a male:female ratio of 3-4:1, and most commonly in the 7th or 8th decade of life.
3. The incidence of buccal carcinoma is much higher in Asia.
– In Southeast Asia, the disease is the most common form of oral cavity cancer.
– In India, buccal carcinoma is the most common cancer in men and the third most common cancer in women.
– The higher rate of buccal carcinoma in Asia is likely related to the widespread practice of betel nut chewing.
– Betel nut, composed mainly of the fruit of the Areca Palm and often mixed with tobacco, is placed along the buccal mucosa to induce a feeling of euphoria.
– Buccal carcinoma related to betel nut chewing tends to develop at an earlier age, with most cases occurring between the ages of 40 to 70.
D. Etiology:
1. Tobacco and alcohol use are the main etiologic agents associated with the development of buccal carcinoma.
2. In North America, a history of using tobacco is documented in 70% of patients.
3. Although alcohol by itself is not thought to be a significant risk, tobacco and alcohol have a well-recognized synergistic effect in the development of carcinoma.
4. In Asia, betel nut is a significant etiologic agent, in addition to tobacco and alcohol.
5. In India, over 90% of patients with buccal carcinoma have a history of using betel nut.
6. Other suspected but not confirmed etiologic agents include human papilloma virus, poor oral hygiene, and chronic irritation.
7. Premalignant conditions include oral submucosal fibrosis and lichen planus:
– The latter has a reported transformation rate of 0.5% to 3%, whereas the former has a malignant transformation rate of 0.5%.
E. Clinical Manifestations:
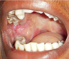
1. Buccal carcinoma commonly presents as a slow-growing mass on the buccal mucosa.


2. Small lesions tend to be asymptomatic and are often noted incidentally on dental examination.
3. Pain commonly occurs as the lesion enlarges and ulceration develops.
4. Oral intake may worsen the pain and lead to malnutrition and dehydration.
5. Associated symptoms include bleeding, poor denture fit, facial weakness or sensory changes, dysphagia, odynophagia, and trismus.
6. A detailed medical history is important to determine the patient’s candidacy for surgery or radiation therapy.
7. The person often has a history of tobacco and alcohol use.
8. A history of previous malignancies of the upper aerodigestive tract should be ascertained.
9. Comprehensive examination of the head and neck should be conducted with a focus on the oral cavity.
10. The mucosa of all the subsites of the oral cavity and oropharynx should be examined systematically.
11. Palpation is important to determine the depth of invasion.
12. Mandibular or maxillary alveolar invasion should be noted on inspection and palpation.
13. Dentition must also be assessed, especially if irradiation is part of the planned management.
14. The larynx and hypopharynx should be assessed by means of examination with a mirror or flexible endoscopy to rule out a second primary tumor of the upper aerodigestive tract.
15. The ears should be examined in those patients with a history of otalgia because a lack of evidence of ear disease suggests referred pain due to malignancy.
16. The neck and parotid gland should be carefully examined for adenopathy.
17. Diaz et al found that 27% of patients presented with clinically positive nodes.
18. The risk of nodal disease at presentation increases with advanced-stage disease.
19. A meta-analysis of four studies with 223 cases of buccal carcinoma by Chhetri et al found that most presented with T2 or T3 disease (12% T1, 47% T2, 19% T3, 22% T4).
20. The rate of nodal metastases at presentation was 40% for T2 disease and 52% for T3 disease.
21. Signs of advanced disease on physical examination include bleeding, skin ulceration, facial swelling, neck mass, trismus, facial numbness, and paralysis of the facial musculature.
22. The lesion often has 1 of 3 morphologic types:
– Exophytic – The exophytic type is the most common, appearing as a papillary mass that becomes ulcerated when large.
– Ulceroinfiltrative – The ulceroinfiltrative variety appears as an ulcer that penetrates deep into the underlying structures, with surrounding induration.
– Verrucous – Verrucous carcinomas are uncommon variants of oral-cavity carcinomas; among these, the buccal mucosa is the most common site. These lesions appear as papillary masses, and keratinization gives them a whitish appearance.
Rodrigo Arrangoiz MS, MD, FACS a head and neck surgeon and is amember of Sociedad Quirúrgica S.C at the America British Cowdray Medical Center.
He is first author on some publications on oral cavity cancer:
-
Oral Tongue Cancer: Literature Review and Current Management
-
Understand Cancer: Research and Treatment Oral Cavity Cancer: Literature Review and Current Management.




