Ductal Carcinoma In Situ (DCIS)

Mammographic detection of calcification remains the mainstay of detection of nonpalpable malignancy.

  • The term ductal carcinoma in situ (DCIS) encompasses a heterogeneous group of lesions that differ in their clinical presentation, histologic appearance, and biological potential.

  • DCIS is characterized by proliferation of presumably malignant epithelial cells within the mammary ductal system, with no evidence of invasion into the surrounding stroma on routine light microscopic examination.

  • Classification schemes that divide DCIS histologically into a variety of subtypes emphasize architectural features or growth pattern of the neoplastic cells, cytologic features of ductal cells, and cell necrosis, both singly and in combination:

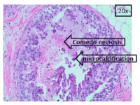
    • Comedo-type necrosis is characterized by prominent necrosis (eosin positive) in the center of the involved spaces.

    • The necrotic material frequently becomes calcified.

    • The tumor cells are large and show nuclear pleomorphism.

    • Mitotic activity may be prominent.

image.phpimage-1.phpimage-2.php

 

Rodrigo Arrangoiz MS, MD, FACS a surgical oncologist and is a member of Sociedad Quirúrgica S.C at the America British Cowdray Medical Center in Mexico City:

  • He is an expert in the management of breast cancer.

Training:

• General surgery:

• Michigan State University:

• 2004 al 2010

• Surgical Oncology / Head and Neck Surgery / Endocrine Surgery:

• Fox Chase Cancer Center (Filadelfia):

• 2010 al 2012

• Masters in Science (Clinical research for health professionals):

• Drexel University (Filadelfia):

• 2010 al 2012

• Surgical Oncology / Head and Neck Surgery / Endocrine Surgery:

• IFHNOS / Memorial Sloan Kettering Cancer Center:

• 2014 al 2016

Leave a comment