
Follicular thyroid carcinoma (FTC) is the second most common cancer of the thyroid, after papillary thyroid carcinoma (PTC).
- Follicular and papillary thyroid cancers are considered to be differentiated thyroid cancers:
- Together they make up 95% of thyroid cancer cases.

FTC and other thyroid neoplasms arising from follicular cells (adenomas, papillary/follicular carcinoma, and noninvasive follicular thyroid neoplasm with papillary-like nuclear features [NIFTP]) show a broad range of overlapping clinical and cytologic features.
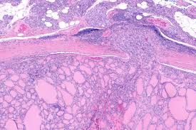
- FTC resembles the normal microscopic pattern of the thyroid:
- A clear distinction between benign and malignant disease based solely on cytological examination of a needle biopsy specimen may be difficult:
- For this reason, a surgical procedure to remove all or a large portion of the thyroid gland may be necessary to obtain sufficient tissue for a definitive diagnosis of FT:
- Pathological examination showing capsular or vascular invasion may be required for this determination.
- For this reason, a surgical procedure to remove all or a large portion of the thyroid gland may be necessary to obtain sufficient tissue for a definitive diagnosis of FT:
- A clear distinction between benign and malignant disease based solely on cytological examination of a needle biopsy specimen may be difficult:
Hurthle cell carcinoma should be considered a variant of FTC.
Pathophysiology
- Activating point mutations in the ras oncogene are well known in patients with follicular adenoma and carcinoma, especially in poorly differentiated (55%) and anaplastic carcinoma (52%):
- As a result of such mutations, p21-RAS becomes locked in its active conformation, leading to the constitutive activation of the protein and tumor development.
- The biochemical pathways that this process follows may be therapeutic targets for FTC.
- Accidental (not diagnostic) x-ray exposure may influence both occurrence and pattern of ras mutation.
- The biochemical pathways that this process follows may be therapeutic targets for FTC.
- As a result of such mutations, p21-RAS becomes locked in its active conformation, leading to the constitutive activation of the protein and tumor development.
- A study of differential gene expression profiling of aggressive and nonaggressive follicular carcinomas identified 94 genes that distinguish follicular carcinomas from follicular adenomas (including PBP and CKS2) and 4 genes that distinguish aggressive follicular carcinomas from nonaggressive follicular carcinomas (NID2, TM7SF2, TRIM2, and GLTSCR2).
Epidemiology
- The American Cancer Society (ACS) estimates that 53,990 new thyroid cancers will occur in 2018 (13,090 in men and 40,900 in women)
- The ACS estimates 2060 deaths from thyroid cancer in 2018, (960 in men and 1100 in women).
- In women, thyroid cancer is the fifth most common cancer:
- Accounting for approximately 5% of all new cases.
- In the United States, about 10% to 15% of all thyroid cancers are follicular.








- Thyroid cancers are quite rare, accounting for only 1.5% of all cancers in adults and 3% in children.
- The highest incidence of thyroid carcinomas in the world is among female Chinese residents of Hawaii:
- In Hawaii, the incidence of FTC ranges from 10 to 30 new cases a year per million inhabitants.
- In recent years, the frequency of FTC has appeared to increase; however, this increase is related to improvement in diagnostic techniques and a successful campaign of information about this carcinoma.
Rodrigo Arrangoiz MS, MD, FACS cirujano de tumores de cabeza y cuello / cirugia endocrina miembro de Sociedad Quirúrgica S.C. experto en el manejo del cáncer de tiroides.
Cumple con los requisitos determinados por el Dr. Saha para realizar cirugía de tiroides de manera efectiva y segura:
-
Cirugia general y gastrointestinal:




