
- Warthin’s tumors most commonly present as an asymptomatic, slowly growing round or oval mass usually affecting men in the 5th and 6th decade:
- The male to female ratio ranges from 2.6:1 to 10:1
- They occur rarely in patients of African American origin
- The average size of Warthin’s tumor at diagnosis is about 2.5 centimeters
- The great majority of these tumors are located in the lower pole of the parotid gland:
- Tail of the parotid.
- In about 10% to 12% of cases, there is bilateral tumor development:
- Which is commonly synchronous
- In about 6% of cases:
- Multiple Warthin’s tumors may be observed in one parotid gland
- They may occur simultaneously with pleomorphic adenomas, various types of carcinoma and malignant lymphomas
- In large registries, Warthin’s tumors located outside of the parotid gland account for about 8% of the cases:
- Case reports concern particularly cervical lymph nodes, the submandibular gland, and the larynx:
-
- The author assume that more attention is paid to these rather rare locations than to the numerous Warthin’s tumors located in the parotid gland which are extirpated worldwide

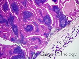
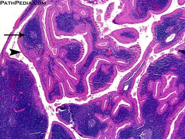
- These tumors are well encapsulated lesions with cystic and solid areas:
- These tumors consist of an oncocytic epithelial cell component arranged in double layers:
- Which develops cysts and papillary projections, and a variable amount of lymphoid tissue often with germinal centers:
- The immunoprofile of the lymphocyte subsets is similar to that in normal or reactive lymph nodes.
- Which develops cysts and papillary projections, and a variable amount of lymphoid tissue often with germinal centers:
- A few Warthin’s tumors (about 8%) show areas of squamous cell metaplasia and regressive changes
- These tumors consist of an oncocytic epithelial cell component arranged in double layers:

![warthin-tumor-parotid-[1-pa003-1]](https://arrangoizmd.com/wp-content/uploads/2019/01/warthin-tumor-parotid-1-pa003-1.jpeg?w=685&h=514)
- Several studies showed that a significant number of patients suffering from Warthin’s tumor are smokers, in contrast to patients with other salivary gland tumors:
- The great majority of patients with Warthin’s tumor had a history of over 20 years of smoking:
- The odds ratio for the incidence of Warthin’s tumor among current smokers compared with never smokers was 8.3
- Compared with never smokers, clearly higher odds of Warthin’s tumor was observed in heavy smokers (more than 30 pack-years) (odds ratio=24.1) than patients who smoked less than 30 pack-years (odds ratio=4.9)
- The great majority of patients with Warthin’s tumor had a history of over 20 years of smoking:


- Warthin’s tumor consists of oncocytic cells containing numerous mitochondria frequently showing structural abnormalities and reduced metabolic function:
- Smoking can lead to damage to mitochondrial DNA due to the development of numerous reactive oxygen species
- In this context, a high rate of deleted mitochondrial DNA has been detected in the oncocytic cells of Warthin’s tumor
- The role of hormones in the etiology of this disease has also been discussed:
- In some malignant salivary gland diseases and even in Warthin’s tumor progesterone receptors have been found
- A correlation with sex hormones could possibly play an important role in the development of those tumors and provide an explanation for the dominance of the male gender
- However, it must be considered that more males than females used to smoke so that the role of the individual factors remains unclear and the intrinsic factor stimulating the development of Warthin’s tumor is still unknown
Rodrigo Arrangoiz MS, MD, FACS a head and neck surgeon / surgical oncologist and is a member of Mount Sinai Medical Center in Miami, Florida:
-
He is an expert in the management of salivary gland neoplasms:
-
If you have any questions about salivary gland neoplasms please fill free to ask Dr. Arrangoiz
-
Training:
• General surgery:
• Michigan State University:
• 2004 al 2010
• Surgical Oncology / Head and Neck Surgery / Endocrine Surgery:
• Fox Chase Cancer Center (Filadelfia):
• 2010 al 2012
• Masters in Science (Clinical research for health professionals):
• Drexel University (Filadelfia):
• 2010 al 2012
• Surgical Oncology / Head and Neck Surgery / Endocrine Surgery:
• IFHNOS / Memorial Sloan Kettering Cancer Center:
• 2014 al 2016
#Arrangoiz
#HeadandNeckSurgeon
#SurgicalOncologist
#Surgeon
#CancerSurgeon
#CirujanodeCabezayCuello
#CirujanoOncologo




