Thyroid nodules are very common in the general population.
🔹 With modern high-resolution ultrasound, thyroid nodules are detected in up to 50–60% of adults
🔹 More than 90% are benign
🔹 Most people have no symptoms and feel completely well
👉 The key is not panic — it’s proper evaluation.
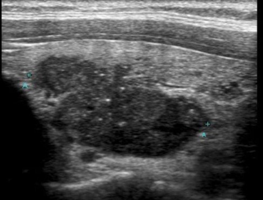
🔍 How should thyroid nodules be evaluated?
The most important first step is a high-resolution thyroid ultrasound, which allows us to:
Accurately measure and characterize nodules Assess features associated with cancer risk Use validated risk-stratification systems (ATA / TI-RADS) Decide whether a biopsy is actually necessary
🧪 A key fact for patients
Only 5–10% of thyroid nodules are cancer.
When thyroid cancer is detected early, cure rates are excellent.
Having it evaluated correctly by an experienced team makes all the difference.
📚 References
Haugen BR et al. ATA Guidelines for Thyroid Nodules and Differentiated Thyroid Cancer. Thyroid Durante C et al. Long-term surveillance of benign thyroid nodules. JAMA Gharib H et al. Fine-needle aspiration biopsy of thyroid nodules. Endocrine Practice
My name is Rodrigo Arrangoiz I am a breast surgeon/ thyroid surgeon / parathyroid surgeon / head and neck surgeon / surgical oncologist that works at Center for Advanced Surgical Oncology in Miami, Florida.
I was trained as a surgeon at Michigan State University from (2005 to 2010) where I was a chief resident in 2010. My surgical oncology and head and neck training was performed at the Fox Chase Cancer Center in Philadelphia from 2010 to 2012. At the same time I underwent a masters in science (Clinical research for health professionals) at the University of Drexel. Through the International Federation of Head and Neck Societies / Memorial Sloan Kettering Cancer Center I performed a two year head and neck surgery and oncology / endocrine fellowship that ended in 2016.
Mi nombre es Rodrigo Arrangoiz, soy cirujano oncólogo / cirujano de tumores de cabeza y cuello / cirujano endocrino que trabaja Center for Advanced Surgical Oncology en Miami, Florida.
Fui entrenado como cirujano en Michigan State University (2005 a 2010 ) donde fui jefe de residentes en 2010. Mi formación en oncología quirúrgica y e n tumores de cabeza y cuello se realizó en el Fox Chase Cancer Center en Filadelfia de 2010 a 2012. Al mismo tiempo, me sometí a una maestría en ciencias (investigación clínica para profesionales de la salud) en la Universidad de Drexel. A través de la Federación Internacional de Sociedades de Cabeza y Cuello / Memorial Sloan Kettering Cancer Center realicé una sub especialidad en cirugía de cabeza y cuello / cirugia endocrina de dos años que terminó en 2016.
View all posts by Rodrigo Arrangoiz MS, MD, FACS, FSSO