Ductal Carcinoma In Situ (DCIS) Pathology 2

  • Immunohistochemical features suggestive of progression:
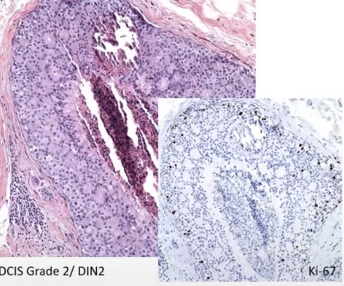
    • Proliferation index (Ki-67):
      • DCIS grade 2 / DIN 2 have a low proliferation index
      • DCIS grade 3 / DIN 3 have a high proliferation index
  • Immunohistochemical features suggestive of progression:
    • Protein markers:
      • Hormone receptor status:
        • ER, PR, HER2
      • Other protein markers:
        • COX2, p16, p53, etc
    • The majority of the protein markers correlated with grade:
      • But are associated with significant heterogeneity
  • At this point in time we do not have a single robust biomarker:
    • That can predict the risk of progression of DCIS to IBC
  • Can combinations of biomarkers predict the risk of progression (clinico-pathological prediction models)?
    • Unclear clinical validity of prediction models combining biomarkers (Schmitz, R. Cancers. 2022):
      • They lack of external validation
      • They do not include the option of active surveillance
  • Molecular features suggestive of progression:
    • Gene expression analysis:
      • Intrinsic subtypes of DCIS:
        • Higher frequency of luminal B and HER2 subtypes
        • They are NOT prognostic of recurrence in DCIS
      • Gene expression differs extensively across tumors:
        • No specific gene expression profile exists that can predict progression in DCIS
        • Confounded by intrinsic subtypes?
        • The intrinsic subtypes are related to different pathways:
          • One of the pathways is tumor micro environment
    • Genetic alterations:
      • There are increase in genetic alterations in the progression from usual ductal hyperplasia to IBC:
        • P53 mutation within the epithelial cell
      • DCIS is a genetically advanced lesion with marked intratumoral heterogeneity:
        • The higher the grade (grade 3 DCIS / DIN3) the more genetic alterations identified
  • The majority of the studies on molecular analysis in DCIS are describing synchronous alterations:
    • They are comparing tumor cells from the DCIS or IBC from the same lesion
    • Not subsequent events from the same (untreated) lesion
  • In these lesions DCIS and IBC share most genetic mutations and copy number alterations:
    • Most common mutations:
      • PIK3CA and TP53
  • No known genetic mutations can differentiate progressive from indolent DCIS:
    • Progression of DCIS varies from patient to patient
      • The lack of clear genetic alterations helping us identify progression points us towards:
        • Tumor micro environment and stroma
  • Summary:
    • DCIS is a very heterogenous disease
    • Biological question is what drives or inhibits progression of DCIS
    • The majority of studies describes observations of varying events
    • Synchronous DCIS and IBC share most genetic alterations:
      • Though not universal, but case to case based
    • No known genetic alterations / morphological features can estimate risk of progression:
      • Leading interest towards micro environment
    • Awaiting active surveillance studies
#Arrangoiz #BreastSurgeon

Leave a comment