The Ten Signs of Malignancy on Ultrasound of the Breast

  • The 10 signs of malignancy include:
    • Shadowing
    • Hypoechoic echotexture
    • Spiculation
    • Angular margins
    • Thick echogenic halo
    • Microlobulation
    • Taller than wide dimensions
    • Duct extension
    • Branching pattern
    • Calcifications
  • Well-defined smooth border and posterior acoustic enhancement:
    • Are found in both malignant and nonmalignant lesions
  • Layering / teacup mammographic microcalcifications:
    • Are usually associated with benign disease
  • Sonographic mass with a benign mammographic imaging:
    • Is managed based on ultrasound features
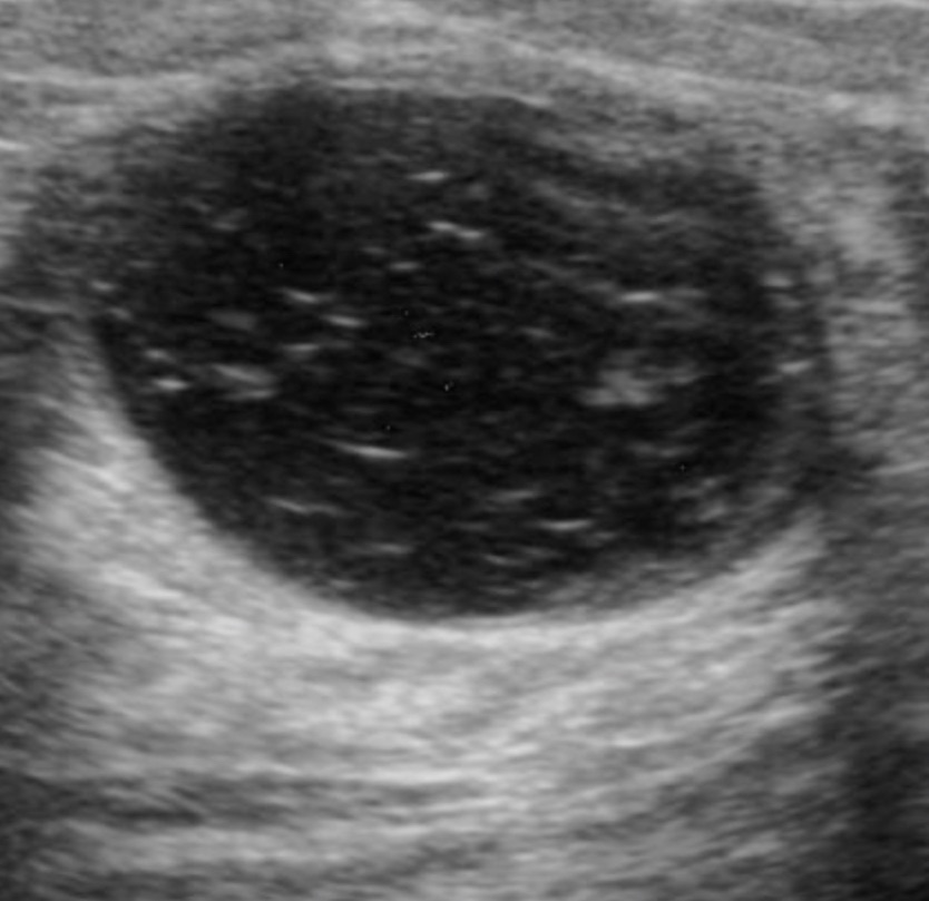
Ultrasound imaging of a palpable breast lesion. Marked hypoechogenicity with immobile echogenic foci (representing calcifications)
  • References
    • Evaluation and imaging features of malignant breast masses. In: Cardenosa G. Clinical Breast Imaging: The Essentials. Philadelphia, PA: Wolters Kluwer; 2015:234-282.
    • Stavros AT. Breast Ultrasound. Philadelphia, PA: Lippincott Williams & Wilkins; 2004.
#Arrangoiz #Doctor #Surgeon #CancerSurgeon #SurgicalOncologist #BreastSurgeon #MountSiniaMedicalCenter #MSMC #Miami #Mexico #BreastCancer

Leave a comment