Surgical anatomy of the buccal region
- The buccal mucosa:
- Is the mucosal lining of the inner surface of the cheek
- The area extends from:
- The oral commisure anteriorly to the retromolar trigone posteriorly:
- The junction between the buccal mucosa and retromolar trigone:
- Is an arbitrary line drawn from the maxillary tuberosity to the distobuccal aspect of the mandibular third molar (or its anticipated position if not present)
- The junction between the buccal mucosa and retromolar trigone:
- The oral commisure anteriorly to the retromolar trigone posteriorly:
- The inferior and superior boundaries of the area are delineated by:
- The mandibular and maxillary gingivobuccal sulci, respectively
- The buccal mucosa is not exposed to masticatory loads:
- So is covered by a lining mucosa with nonkeratinizing stratified squamous epithelium:
- The mucosa is firmly attached to the underlying buccinator muscle
- Minor salivary glands are located within the cheek (submucosa)
- So is covered by a lining mucosa with nonkeratinizing stratified squamous epithelium:
- The parotid duct:
- Pierces the buccinator muscle to enter the oral cavity adjacent to the second maxillary molar tooth
- Sensory innervation to the area:
- Is via the buccal branch of the mandibular division of the trigeminal nerve
- Lymphatic drainage of the site:
- Is via the ipsilateral facial and submandibular nodes:
- To the deep cervical chain
- Is via the ipsilateral facial and submandibular nodes:
- The thickness of the cheek, from mucosal lining to external skin:
- Is 1 cm to 3 cm
- Epidemiology
- The buccal mucosa is the most common site for oral cancer:
- In South East Asia:
- Up to 40% of oral cancers arising at this site
- This contrasts with North America and Western Europe:
- Where buccal carcinoma only accounts for 2% to 10% of oral carcinomas
- In South East Asia:
- The consumption of betel quid:
- Is socially and culturally embedded in the countries of South East Asia:
- It is responsible for the difference in site predilection
- The ingredients of betel quid (paan / paan masala) varies throughout South East Asia:
- The main ingredients include:
- The piper betel leaf
- Slaked lime
- Spices
- Tobacco
- Areca nut
- The main ingredients include:
- For many years, the tobacco content alone was credited as being the carcinogenic agent in betel quid:
- However it is now recognized that the areca nut is also carcinogenic:
- As well as being the main etiological agent in:
- Oral submucous fibrosis
- As well as being the main etiological agent in:
- Individuals who consume betel quid frequently have a preference regarding which side they chew betel:
- This corresponding to the side of tumor development
- There is a strong association with smoking and alcohol consumption:
- In populations where betel chewing is not prevalent
- However it is now recognized that the areca nut is also carcinogenic:
- Is socially and culturally embedded in the countries of South East Asia:
- The buccal mucosa is the most common site for oral cancer:
- The male-to-female ratio:
- In Western countries approximates 1:1:
- However in South East Asia the ratio reflects the consumption of betel quid
- In India, the male-to-female ratio:
- Is approximately 4:1
- In the Taiwanese population, where betel quid use occurs primarily in the male population:
- The ratio may be as high as 27:1
- In Western countries approximates 1:1:
- Buccal carcinoma typically occurs over the age of 40 years:
- Although it may occur in younger patients:
- Particularly when associated with the habit of betel chewing
- Although it may occur in younger patients:
- Presentation:
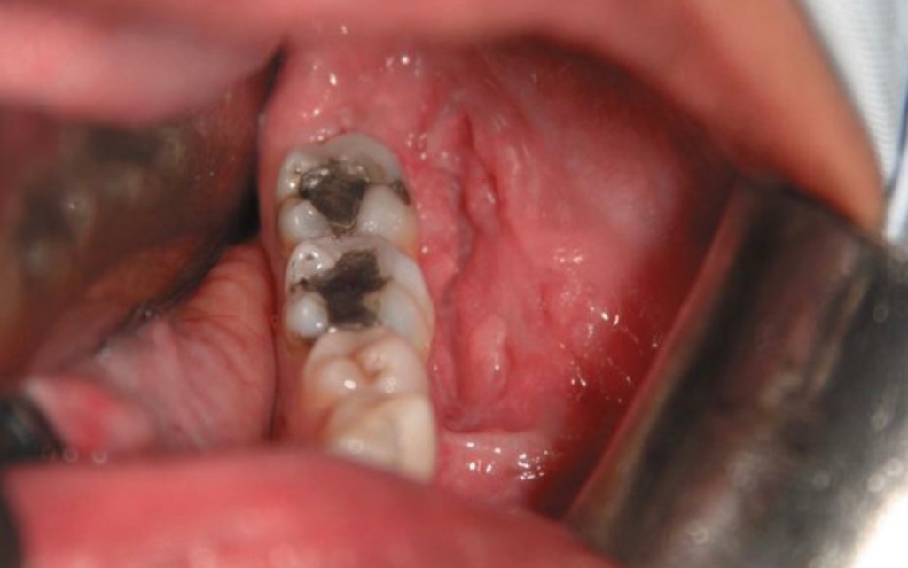
- Buccal carcinoma may be described as:
- Verrucous, exophytic or ulceroinfiltrative in character
- Buccal carcinoma may be described as:


- Presentation of buccal carcinoma of the oral cavity:
- Patients may present with:
- Pain
- An intraoral mass
- Ulceration
- Trismus
- Patients who chew betel often have areas of:
- Erythroleukoplakia of the buccal mucosa or submucous fibrosis and consequent trismus:
- Making the detection of invasive squamous cell carcinoma difficult
- Erythroleukoplakia of the buccal mucosa or submucous fibrosis and consequent trismus:
- Advanced buccal carcinomas may extend into adjacent sites to include:
- External skin, mandible or maxilla
- It is not unusual for patients to present with advanced disease:
- 40% or more presenting with stage III / IV disease
- Palpable lymphadenopathy on presentation:
- May be as high as 57% for T3 / T4 lesions
- Occult nodal metastasis:
- May be present in 26% of those who are clinically N0 at presentation:
- Tumors greater than T2, are poorly differentiated, have a poor lymphocytic response or are thicker than 5 mm:
- Are more likely to demonstrate cervical metastasis
- Tumors greater than T2, are poorly differentiated, have a poor lymphocytic response or are thicker than 5 mm:
- Tumors are usually well differentiated
- May be present in 26% of those who are clinically N0 at presentation:
- Patients may present with:
- Work up:
- Biopsies of buccal carcinomas should be of sufficient depth to help the pathologist give an indication of depth of invasion:
- Since this will help decide on management of the neck
- Buccal carcinoma may rapidly extend to adjacent sites:
- Thus accurate imaging is required:
- Most patients will require MRI / CT imaging:
- Augmented with ultrasound scan if necessary to help in the assessment of depth of primary and cervical lymphadenopathy
- Most patients will require MRI / CT imaging:
- Thus accurate imaging is required:
- Biopsies of buccal carcinomas should be of sufficient depth to help the pathologist give an indication of depth of invasion:
- Treatment
- Primary site:
- Traditional treatment of buccal carcinoma is:
- Surgery with postoperative radiation therapy (PORT) for selected patients
- T1 / T2 disease:
- Can typically be resected perorally
- T3 / T4 disease:
- May require facial access incisions and bony resection of the maxilla and / or mandible
- The primary tumor should be resected with:
- A 1 cm margin and up to 2 cm if skin is involved
- The buccinator muscle:
- Should be included as the deep margin at the very least
- The parotid duct:
- May need to be repositioned or ligated
- External skin should be taken with the specimen:
- If there is any evidence clinically or on imaging that it is involved
- Partial maxillectomy or mandibular resection (rim (marginal) or segmental) may be required.
- Small T1 tumors:
- May be resected and reconstructed by primary closure
- Healing by secondary intention may be considered:
- However postoperative trismus may be anticipated:
- Unless vigorous mouth opening exercises are conducted
- However postoperative trismus may be anticipated:
- Split thickness skin grafts may be used:
- The use of silicone sheets to stabilize the graft being useful
- The use of a skin graft to reconstruct deeper resections:
- May leave a very thin cheek with potentially poor aesthetics
- Local flaps such as:
- The buccal fat pad or temporoparietal fascial flap:
- May be used for reconstruction if tumor extension does not compromise their use
- The buccal fat pad or temporoparietal fascial flap:
- Microvascular free flap reconstruction with a radial free forearm flap or anterolateral thigh flap:
- Restores the thickness of the cheek and if external skin is involved:
- The flaps can be bipaddled to provide reconstruction of mucosal and skin surfaces
- Restores the thickness of the cheek and if external skin is involved:
- T4 tumors requiring segmental resection of the mandible:
- May require composite free flap reconstruction
- Reconstruction with a radial free forearm flap:
- Has been shown to give better postoperative mouth opening than reconstruction with a split skin graft or buccal fat pad
- Traditional treatment of buccal carcinoma is:
- Primary site:


- Radiotherapy:
- As a single treatment modality for T1 / T2 tumors has been advocated:
- However, a change of practice from radiotherapy to surgery at Memorial Sloan Kettering Cancer Center was associated with improved prognosis
- Brachytherapy or external beam irradiation may be considered
- As a single treatment modality for T1 / T2 tumors has been advocated:
- Management of the Neck:
- Regional spread of disease in buccal carcinoma is usually to:
- The ipsilateral level I and II lymph nodes
- Patients with palpable lymphadenopathy or pathological nodes on imaging:
- Should have a comprehensive neck dissection:
- Although if pathological nodes are only located in level I, a level I to III selective neck dissection (SND) may be considered
- Nodes in the region of the facial artery as it crosses the mandible:
- Should be removed with the neck dissection specimen
- Should have a comprehensive neck dissection:
- Patients with a cN0 neck:
- With a T2 or greater primary tumors or tumors with a thickness greater than 5 mm:
- Should have an elective neck dissection:
- Some institutions will conduct an elective neck dissection (END) if the tumor is 3 to 4 mm thick or if histological examination of the tumor demonstrates lymphatic infiltration
- Should have an elective neck dissection:
- With a T2 or greater primary tumors or tumors with a thickness greater than 5 mm:
- Regional spread of disease in buccal carcinoma is usually to:
- PORT:
- The indications for postoperative radiotherapy to the loco-regional area are similar to other sites:
- Notably two or more nodes in the neck, extracapsular spread (ECS), positive margins or stage III / IV disease
- The beneficial role of PORT in selected patients with buccal carcinoma has been demonstrated by several authors:
- Some authors suggest that PORT should be considered even in stage I and II disease, or tumors greater than 10 mm thick
- The indications for postoperative radiotherapy to the loco-regional area are similar to other sites:
- Recurrence:
- Recurrence rates for buccal carcinoma are 26% to 80%:
- Usually occurring within two years
- Involvement of the parotid duct and buccinator muscle:
- Have not been found to be significant indicators of recurrence
- Factors that influence recurrence include:
- Tumor thickness and tumor differentiation
- Recurrence rates for buccal carcinoma are 26% to 80%:

