- Adenoid cystic carcinoma (ACC):
- Accounts for approximately 10% of all salivary gland neoplasms
- This is the most common malignant disorder:
- To arise in the submandibular, the sublingual, and the minor salivary glands
- More than two thirds (65%) of them arise from the:
- Minor salivary glands
- ACC are most commonly located within:
- The oral cavity (palate) followed by:
- The nasal cavity and nasopharynx
- The oral cavity (palate) followed by:
- They were considered the most common malignant salivary gland tumor to involve the palate:
- But they are now outnumbered at this site:
- Polymorphous low-grade adenocarcinoma
- But they are now outnumbered at this site:
- ACC arise more often in:
- Women than in men
- ACC tend to affect adults:
- In their fifth through seventh decades of life
- ACC often present as
- An otherwise asymptomatic mass
- Its natural history demonstrates a paradox:
- First:
- Tumor growth is slow:
- But its clinical course is unyielding and progressive
- Tumor growth is slow:
- Second:
- Operative intervention is usually possible:
- But multiple local recurrences are the norm
- Operative intervention is usually possible:
- Third:
- Metastatic spread to regional lymph nodes is rare:
- But distant spread to the lungs and bones is common:
- 40% to 50% of the cases
- But distant spread to the lungs and bones is common:
- Metastatic spread to regional lymph nodes is rare:
- Fourth:
- 5-year survival rates are expectantly high:
- But 10 to 20-year survival rates are dismally low [29]
- 5-year survival rates are expectantly high:
- First:
- Tumor stage is considered the most reliable indicator of overall outcome:
- But some authors have questioned the importance of histologic subtyping
- There is a strong positive correlation between site of origin and prognosis:
- The more favorable outcome with major (relative to minor) salivary gland ACC:
- Is attributed to the earlier discovery of the neoplasm at these more accessible locations
- The more favorable outcome with major (relative to minor) salivary gland ACC:
- ACC is not encapsulated or partially encapsulated:
- Infiltrates the surrounding tissue:
- The risk of local failure is:
- Approximately 50% with surgery alone
- The risk of local failure is:
- Infiltrates the surrounding tissue:
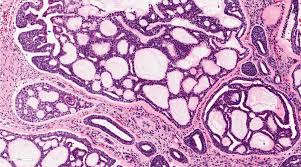
- Histologically:
- They have a basaloid epithelium clustered in nests in a hyaline stroma
- ACC can be categorized into three growth patterns:
- Cribriform pattern
- Tubular pattern
- Solid pattern
- The most common histologic subtype is:
- The cribriform type (44% of the cases)
- Characterized by a “Swiss cheese” pattern of vacuolated areas
- The prognosis for the cribriform subtype:
- Is intermediate
- The cribriform type (44% of the cases)
- The tubular subtype (35% of the cases):
- Carries the best prognosis
- Characterized by cords and nests of malignant cells
- The solid subtype (21% of the cases):
- Has the worst prognosis in terms of distant metastasis and long-term survival
- Solid sheets of adenoid malignant cells characterize this subtype
- A sole feature of ACC is:
- The propensity for perineural invasion:
- 50% to 70% of the cases:
- Even with early stage tumors
- 50% to 70% of the cases:
- It can spread centripetally through the skull base and peripherally along both named and unnamed nerves
- For this reason, adjuvant radiation that includes the anatomic course of the regional named nerves is often recommended
- The propensity for perineural invasion:
- Lymphatic spread is uncommon:
- Consequently neck dissection or wide-field radiation to regional lymphatics:
- Is rarely recommended
- Consequently neck dissection or wide-field radiation to regional lymphatics:
- Skip metastasis are known to occur despite clear surgical margins
- This malignancy is graded according to Szanto et al:
- Cribriform or tubular (grade I)
- Less than 30% solid (grade II)
- Greater than 30% solid (grade III)
- In patients treated by similar modalities:
- The cribriform and tubular variants of ACC demonstrated:
- No difference in the rate of distant metastases and overall survival:
- The cribriform variant demonstrated a:
- Significantly worse prognosis in terms of local recurrence rate (up to 47%)
- The cribriform variant demonstrated a:


- References:
- Spiro, R.H. and A.G. Huvos, Stage means more than grade in adenoid cystic carcinoma. American journal of surgery, 1992. 164: p.623-8.
- Bradley, P.J., Adenoid cystic carcinoma of the head and neck:
a review. Curr Opin Otolarngol Head Neck Surg. Vol. 12.
2004: Lippincott Williams and Wilkins. - Martinez-Rodriguez, N., et al., Epidemiology and treatment
of adenoid cystic carcinoma of the minor salivary glands: A
meta-analytic study. Medicina oral, patologia oral y cirugia
bucal, 2011. - Szanto, P.A., et al., Histologic grading of adenoid cystic
carcinoma of the salivary glands. Cancer, 1984. 54(6): p.
1062-9. - Kumar, P.P., et al., Intracranial skip metastasis from parotid
and facial skin tumors: mechanism, diagnosis, and
treatment. Journal of the National Medical Association, 85(5): p. 369- - Gnepp, D.R., Malignant mixed tumors of the salivary glands:
a review. Pathology annual, 1993. 28 Pt 1: p. 279-328.
#Arrangoiz #CancerSurgeon #HeadandNeckSurgeon #SurgicalOncologist #Surgeon #Doctor #MountSinaiMedicalCenter #MSMC #Miami #AdenoidCysticCarcinoma #SalivaryGlandTumors #SalivaryGlandMalignancies
