Diffuse Breast Cancer

  • There are two main groups of diffuse breast cancers:
    • That present as large areas of architectural distortion on the mammogram:
      • One is neoductgenesis
      • The other is a diffusely infiltrating carcinoma:
        • Which makes up approximately 5% of all breast cancers
Bilateral diagnostic mammogram images
  • When the tumor is e-cadherin negative:
    • It is usually called invasive “lobular” carcinoma
  • When it is e-cadherin positive:
    • It is called infiltrating “ductal” carcinoma:
      • The designation based on e-cadherin staining is arbitrary:
        • Because the behavior of diffusely invasive carcinoma is the same regardless of the staining
  • Lacking calcifications and a central tumor mass:
    • These cancers are notoriously difficult to perceive on mammogram:
      • Even when they are large and palpable or when they occur in fatty involuted breasts:
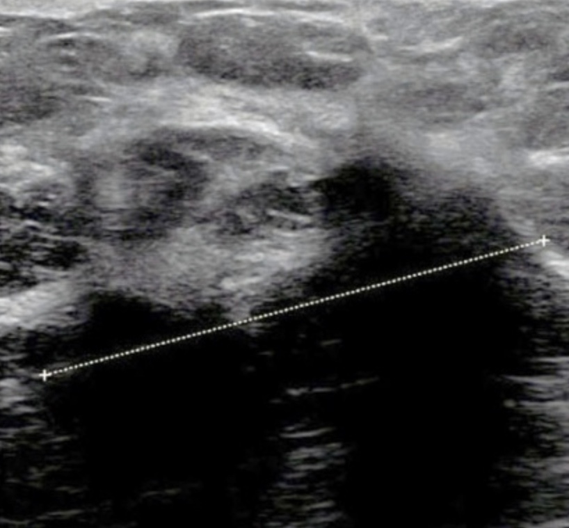
        • However, the associated connective tissue response:
          • Makes this type of cancer quite visible with ultrasound
Hand-held ultrasound image
  • In contrast to diffusely infiltrating cancers:
    • Circular (Image) and spiculated (Image) tumors arising in the terminal ductal lobular units (TDLU):
      • Have bulging, convex contours protruding into the adipose tissue
Lobulated spherical tumor mass
Multifocal stellate invasive breast cancer
  • The solid variety of infiltrating lobular carcinoma:
    • Most probably arises within the TDLU and has a circular / oval shape on breast imaging
  • There are two other variants of invasive lobular carcinoma that arise in the TDLUs:
    • The tubulolobular variant:
      • Is either a unifocal or multifocal spiculated lesion on the mammogram (Image)
    • The alveolar type of invasive lobular carcinoma:
      • Is usually mammographically occult, or it can be seen as a subtle, asymmetric density (Image)
Multifocal spiculated lesion on the mammogram
Mammogram (a) and large format histology (b) alveolar type invasive lobular carcinoma
  • The various forms of invasive lobular carcinoma that develop in the TDLUs and present as localized lesions:
    • Have a significantly better prognosis than the diffusely infiltrating type breast cancer
  • Complex sclerosing lesions:
    • Present mammographically as nonpalpable architectural distortion with no central tumor mass and lucent radiating structures, the so called “black star”:
      • As opposed to cancers originating from the TDLU:
        • Which have a dense central tumor mass surrounded by radiopaque spiculation, giving the impression of looking at a “white star”
  • Malignant phyllodes tumors:
    • Present as large, high density masses:
      • The borders may be circumscribed or ill defined
  • Fat necrosis:
    • Also presents as a hypoechoic, high-density mass
  • References:
    • Tot T. Diffuse invasive breast carcinoma of no special type. Virchows Arch. 2016;468(2):199-206.
    • Tabár L, Dean PB. Teaching Atlas of Mammography. New York, NY: Thieme; 2011.
#Arrangoiz #BreastCancer #BreastSurgeon #CancerSurgeon #SurgicalOncologist #MountSinaiMedicalCenter #MSMC #Miami #Mexico

Leave a comment