Ultrasound Evaluation of a Solid Breast Nodule

  • Stavros has proposed the following BIRADS categories for breast ultrasound (see Table 1)
Proposed BIRADS categories for breast ultrasound
  • The American College of Radiology classification subdivides category 4 into:
    • BIRADS 4a:
      • Which has a 2% to 10 % risk of malignancy
    • BIRADS 4b:
      • Which has a 10% to 50 % risk
    • BIRADS 4c:
      • Which has a 50% to 95% risk
  • BIRADS 5 has 95% or greater chance of malignancy
  • In evaluating a solid sonographic nodule:
    • One should first look for any of the 10 signs of malignancy:
      • If even one of them is present:
        • The lesion cannot be considered BIRADS 3
    • The 10 signs of malignancy include:
      • Shadowing
      • Hypoechoic echotexture
      • Spiculation
      • Angular margins
      • Thick echogenic halo
      • Microlobulation
      • Taller than wide
      • Duct extension
      • Branching pattern
      • Calcifications
  • Note that Stavros compares the echogenicity of lesions to that of breast fat, not breast parenchyma:
    • Therefore, a lesion with hypoechoic echotexture would be very hypoechoic if breast parenchyma is used as the reference
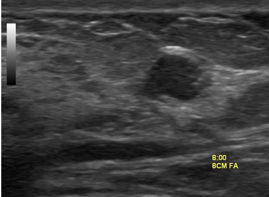
  • The hypoechoic lesion in the image does not have smooth margins but appears microlobulated
  • Regardless of whether the classification of Stavros or the American College of Radiology is used:
    • The risk of the lesion in this patient is not low enough to be considered BIRADS 3 nor high enough risk to warrant BIRADS 5:
      • Thus, it falls somewhere in the BIRADS 4 range:
        • Biopsy is required
  • References
    • D’Orsi CJ, Sickles EA, Mendelson EB, Morris EA. ACR BI-RADS® Atlas, Breast Imaging Reporting and Data System. 5th ed. Reston, VA: American College of Radiology; 2013
    • Jales RM, Sarian LO, Torresan R, Marussi EF, Alvares BR, Derchain S. Simple rules for ultrasonographic subcategorization of BI-RADS®-US 4 breast masses. Eur J Radiol. 2013;82(8):1231-1235.
    • Stavros AT. Breast Ultrasound. Philadelphia, PA: Lippincott Williams & Wilkins; 2004.

Leave a comment