Evaluation of a Breast Mass on Ultrasound

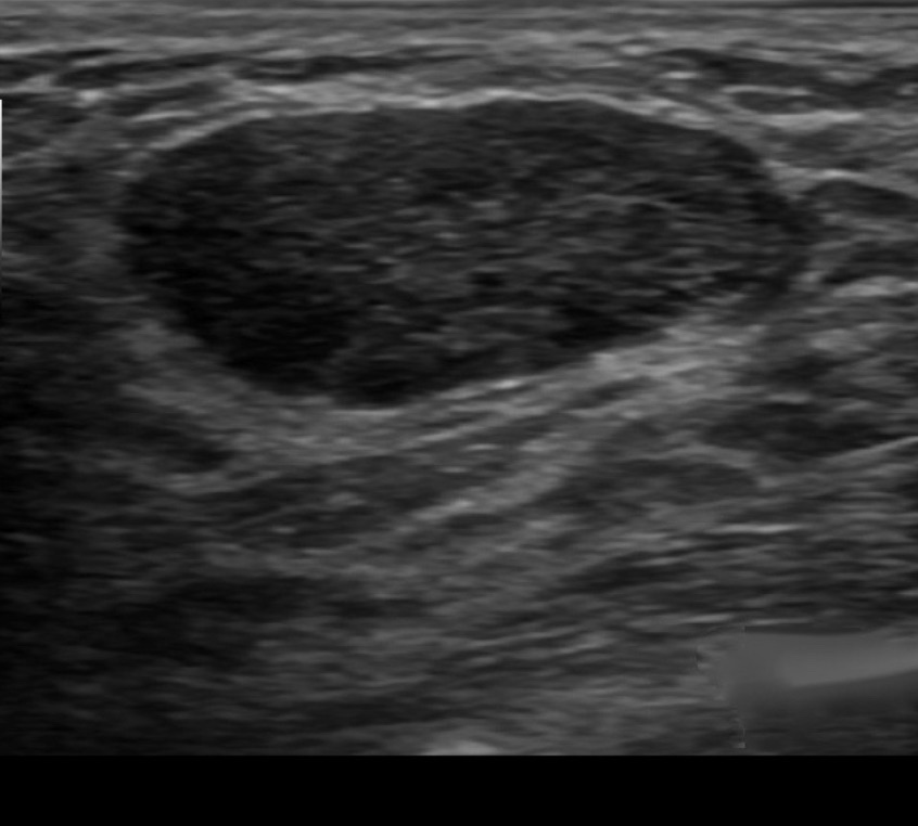
  • You first evaluate the lesion for any of the 10 malignant signs:
    • Shadowing
    • Hypoechoic echotexture
    • Spiculation
    • Angular margins
    • Thick echogenic halo
    • Microlobulation
    • Taller than wide
    • Duct extension
    • Branching pattern
    • Calcifications
  • Finding none, you move on to the second step in the evaluation process:
    • Specifically look for one of the 3 strictly defined benign signs:
      • If any of them are found, the lesion can be considered BIRADS 3
    • The 3 benign findings defined by Stavros are:
      • A purely hyperechoic lesion with no hypoechoic area larger than a normal duct or lobule
      • Elliptical, wider than tall, well-circumscribed and thin echogenic capsule
      • Gently lobulated, wider than tall, well-circumscribed and thin echogenic capsule
    • Combining the elliptical or gently lobulated shapes with the presence of a complete, thin echogenic capsule:
      • Is necessary because many circumscribed carcinomas and most ductal carcinoma in situ are encompassed in a thin, echogenic capsule:
        • However, the shape of circumscribed invasive carcinoma or pure ductal carcinoma in situ is rarely elliptical or gently lobulated
  • BIRADS 3:
    • A 6-month follow-up ultrasound would be appropriate unless the anxiety of the patient makes core biopsy a better option
  • References
    • Madjar H, Mendelson EB. The Practice of Breast Ultrasound. 2nd ed. Thieme; 2008;141-144.
    • Stavros AT. Breast Ultrasound. Philadelphia, PA: Lippincott Williams & Wilkins; 2004.
#Arrangoiz #Doctor #Surgeon #CancerSurgeon #SurgicalOncologist #BreastSurgeon #MountSinaiMedicalCenter #MSMC #Miami #Mexico #BreastCancer

Leave a comment