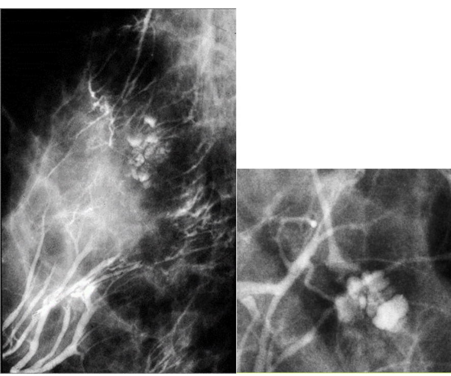
Calcifications Identified on Mammogram

Straight lateral magnification view. “Milk of Calcium” Calcifications.
  • The images clearly show benign “milk of calcium” type calcifications:
    • Which do not warrant biopsy or interval follow-up regardless of how many are present
  • In fibrocystic change:
    • An apocrine metaplastic cell layer lines the cystically dilated acini:
      • Which are filled with fluid and contain numerous psammoma body-like calcifications
    • The appearance of the calcifications on the mammogram:
      • Will depend on the shape of the summation of the calcified particles in the cystically dilated acini
    • When the shape happens to be “teacup-like” (i.e., crescent-shaped on the mediolateral projection and low density, circular/oval on the craniocaudad projection):
      • The diagnosis of fibrocystic change can be made with confidence
Images a and b show a galactogram performed on a woman with greenish cloudy nipple discharge. The ducts are distended by fluid (duct ectasia) and the acini of a single terminal ductal lobular unit are cystically distended. The contrast media shows a teacup-like appearance, seen from the side (Image a) and seen from above (Image b).
Images a-c show 3D histology images of the aggregate of the psammoma body-like calcification corresponding to the mammogram. The impression is that the teacup-like calcification is a single calcification, but Image c shows that it is the summation / aggregate of many tiny psammoma body-like calcifications.
  • Benign and malignant type calcifications:
    • Can increase or decrease in number and density, or even remain unchanged for years:
      • So changes in the appearance on follow-up examination do not constitute a reliable way to exclude malignancy
  • In general, calcifications should be determined to be benign by:
    • Their appearance and distribution or they should have a large bore core needle biopsy
  • Six month follow-up mammography is not a good way to determine if calcifications are benign
  • In fibrocystic changes:
    • The most frequently occurring calcifications are the psammoma body-like calcifications that float in fluid in microcysts:
      • They should cause little diagnostic confusion
    • When the calcifications are imaged in a craniocaudad projection:
      • The calcifications are spread out over the entire microcyst yielding a smudgy image of the calcifications
    • In a straight lateral image:
      • The microcysts are imaged in a vertically oriented direction, and gravity causes the calcium rich fluid to settle to the bottom of the cysts yielding the teacup-like appearance of the calcifications
        • When these images are present, the diagnosis of benign milk of calcium is secure.
  • Low-grade in situ carcinoma:
    • Would cause powdery calcifications
  • Intermediate grade in situ carcinoma:
    • Would cause crushed stone-type calcifications on the mammogram
  • References
    • Monda LA. Differentiation of breast calcifications. Radiol Technol. 2001;72(6):532-544.
    • Baldwin P. Breast calcification imaging. Radiol Technol. 2013;84(4):383M-404M.

Leave a comment