Pathology of Triple Negative Breast Cancer Part 2

  • Basal-like breast cancer:
    • Express genes of basal epithelium and demonstrate low expression of ER and HER2 related genes
    • Often (80%) ER negative, PR negative, and HER2 negative, EGFR positive, CK 5/6 positive
    • Most TNBC are basal-like and the reverse is true
  • Clinical presentation:
    • 6% to 27% of all breast cancers are basal-like
    • 1/5 of the cases are seen in younger patients:
      • 20% in patients less than 40 years
    • Often aggressive with poor prognosis
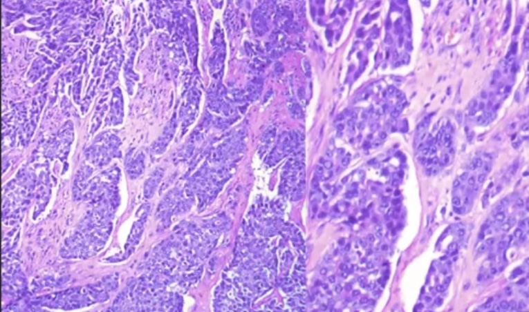
  • Pathology:
    • Macroscopic appearance:
      • Mostly well circumscribed masses
      • Geographic necrosis is common
  • Pathology:
    • Invasive carcinoma NST with Medullary pattern
    • Solid architecture:
      • No tubule formation
    • High grade and high proliferation:
      • Ki-67 greater than 90%
    • High cell denisty and scant stroma
    • Pushing borders
    • Lymphocytic infiltrate at the tumor edge
    • Geographic or central necrosis
    • Syncytial arrangement, less cytoplasm, basaloid features, nuclei with coarse or vesicular chromatin and prominent nucleoli
Basal-like TNBC
Basal-Like TNBC
Immune Profile
  • Molecular Pathology in TNBC and Basal-Like:
    • High degree of genetic instability
    • Heterogeneity of gene copy number aberrations
    • 15% to 20% highly express genes of basal epithelium and demonstrate low expression of ER-related gene and HER2
    • TP53 (87%), PTEN mutation / loss (35%), RB1 mutation / loss (20%), Cyclin D1 amplification (58%), and CDK gain (25%)
    • P-cadherin, fatty acid-binding protein 7, c-kit, matrix metal lo-retina se 7, caveolin 1 and 2, metallothionein IX, TFG-beta receptor II
  • Histologic types of TNBC:
    • Metaplastic carcinomas
    • Adenoid cystic carcinoma
    • Secretory carcinoma
    • Triple negative tumors of luminal androgen receptor type (AR)
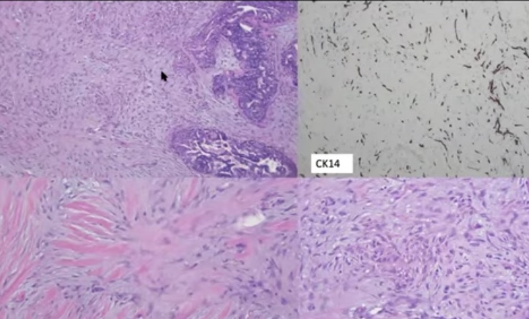
  • Metaplastic Carcinoma (MC):
    • A heterogenous group of invasive breast cancer
    • Components, including pindle cells, squamous cells , and matrix production:
      • Low-grade adenosquamous carcinoma
      • Fibromatosis-like metaplastic carcinoma
      • Spindle cell carcinoma
      • Squamous cell carcinoma
      • MC with heterozygous mesenchymal differentiation
      • Mixed metaplastic carcinoma
    • Immunohistochemical profile of MC
      • Positive:
        • AE1/AE3, 34BE12, CK5/6, CK14, p63, CK8/18, CK7, and CK19
      • Negative:
        • CD34, desmin, and SMMHC
TNBC – Metaplastic Carcinoma Spindle Cell Type
  • Secretory Carcinoma:
    • Rare low-grade type of breast cancer (< 0.1%) in adolescents
    • Partially circumscribed
    • Three histologic patterns:
      • Solid
      • Micro cystic (cysts simulating thyroid follicles)
      • Tubular
    • Neoplastic cells are uniform, round to polygonal, finely granular or vacuolated cytoplasm containing dense eosinophilia secretion
    • Characterized by fusion gene NTRK-ETV6 t(12;15)(p13;q25)
Secretory Carcinoma

Leave a comment