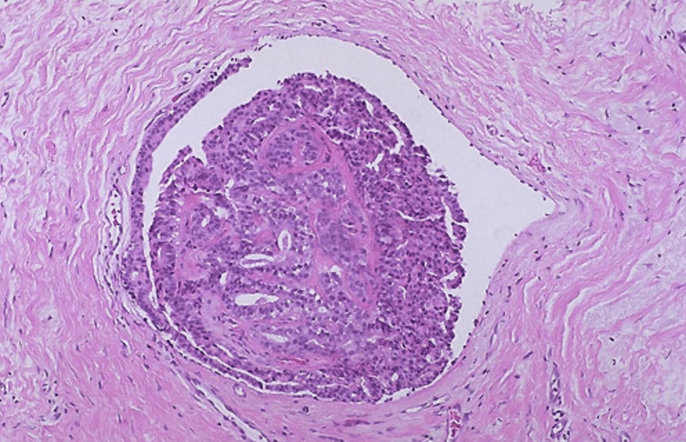
Intraductal Papilloma with Atypia
- Although a solitary intraductal papilloma is benign:
- When a papillary lesion with atypia is identified on core biopsy:
- Surgical excisional biopsy is recommended to rule out an associated in situ or invasive cancer:
- Studies have demonstrated an upstage rate of 22% to 67% when atypia is present:
- But only 3%to 9% in the absence of atypia
- Studies have demonstrated an upstage rate of 22% to 67% when atypia is present:
- Surgical excisional biopsy is recommended to rule out an associated in situ or invasive cancer:
- When a papillary lesion with atypia is identified on core biopsy:
- MRI is available as an additional diagnostic tool:
- A negative MRI would not obviate the need for excisional biopsy to exclude malignancy since it cannot reliably distinguish benign from malignant papillomas
- A short-term follow-up could be considered appropriate:
- For an intraductal papilloma without atypia on core biopsy if these findings are considered concordant with the clinical presentation

- References:
- Ahmadiyeh N, Stoleru MA, Raza S, Vester SC, Golshan M. Management of intraductal papilloma of the breast: an analysis of 129 cases and their outcome. Ann Surg Oncol. 2009;16(8):2264-2269.
- Jaffer S, Nagi C, Bleiweiss IJ. Excision is indicated for intraductal papilloma of the breast diagnosed on core needle biopsy. Cancer. 2009;115(13):2837-2843.
- Syndnor MK, Wilson JD, Hijaz TA, Massey HD, Shaw de Paredes ES. Underestimation of the presence of breast carcinoma in papillary lesions initially diagnosed at core-needle biopsy. Radiology. 2007;242(1):58-62.
- McGhan LJ, Pockaj BA, Wasif N, Giurescu ME, McCullough AE, Gray RJ. Papillary lesions on core breast biopsy: excisional biopsy for all patients? Am Surg. 2013;79(12):1238-1242.
- Holley SO, Appleton CM, Farria DM, Reichert VC, Warrick J, Allred DC, Monsees BS. Pathologic outcomes of nonmalignant papillary breast lesions diagnosed at imaging-guided core needle biopsy. Radiology. 2012;265(2):379-384.
#Arrangoiz #BreastSurgeon #CancerSurgeon #SurgicalOncologist #BreastCancer #IntraductalPapilloma
