- In the workup of patients presenting with a goiter, the clinician most address the following three important issues:
- The existence or the potential development of airway compression
- The risk of malignancy
- The presence of hyperthyroidism
- The presence of preoperative shortness of breath:
- Correlates with goiter size:
- But it is of limited value as a screening tool for tracheal abnormalities
- Correlates with goiter size:
- Dysphagia correlates with radiographic findings of esophageal deviation and compression:
- In the absence of dysphagia:
- Patients do not require further esophageal imaging
- In the absence of dysphagia:
- Symptomatic assessment of voice:
- Does not predict objective findings in patients with goiter and should not replace the laryngeal exam
- Flow volume loop studies most accurately document airway obstruction in the setting of significant airway compression:
- However, they correlate poorly with goiter weight and upper airway symptoms:
- I do not recommend flow volume loop studies as part of the routine work-up for patients with goiter
- Thus, symptomatic flow volume loop and plain film assessment of goiter is insensitive, in distinction to axial CT scanning
- The finding of tracheal compression on axial CT scanning correlates significantly with the presence of shortness of breath:
- CT scan tracheal compression to be an appropriate surgical indication given its symptomatic respiratory correlate
- However, they correlate poorly with goiter weight and upper airway symptoms:
- Work up of benign goiter:
- History and physical examination:
- Symptomatic
- Massive goiter
- Bilateral circumferential goiter
- Suspect substernal goiter
- Suspect cancer (vocal cord paralysis, lymphadenopathy)
- History and physical examination:
- Thyroid function tests
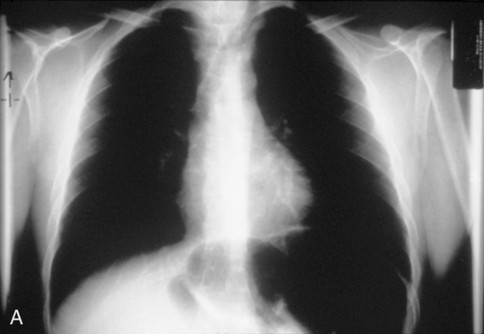
- Chest radiograph if suspect cancer:
- Chest radiograph showing airway deviation → axial CT or MRI


#Arrangoiz #ThyroidSurgeon #CancerSurgeon #ThyroidExpert #EndocrineSurgery #HeadandNeckSurgery #MultinodularGoiter #Goiter #SubsternalGoiter #MountSinaiMedicalCenter
