
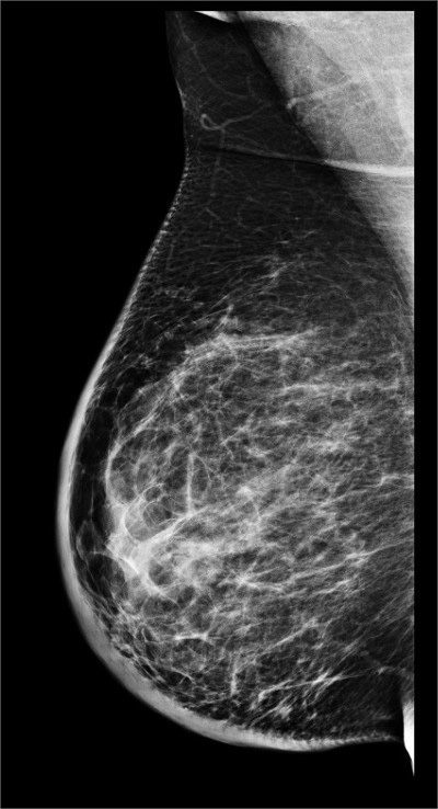
👉We define dense breasts as an indicator of the amount of glandular and connective tissue, meaning the tissue responsible for making milk and holding the breast in place and up, for lack of a better description.
👉It’s not determined by how firm the breasts feel. A lot of times patients will come in and say, “My breasts feels so dense.” That is not density.
👉Density is categorized using a standardized system that was developed by the American College of Radiology that’s called the BI-RADS system.
👉We categorize breast density in four ways. One, breast can be completely fatty. That means it’s all fat. We don’t have any glandular tissue in the breast. Or scattered, meaning 25% to 50% density. Heterogeneously dense is 50% to 75% density, and extremely dense means there’s way more glandular tissue than there is fat.
👉Dense breasts are common. About 40% to 45% of US women between the ages of 40 and 74 have dense breast tissue. So it’s important because the risk of breast cancer increases with increasing breast density.
👉Women with dense breast tissue have a one and a half to two fold increase in risk compared to those with less dense breast tissue.
👉The other problem with it is dense breast tissue is white on a mammogram, and breast cancer is white on a mammogram, and so a lot of times the denser tissue can obscure or hide a cancer on the mammogram and making it harder for a radiologist to pick that up.
👉In 2019, the FDA issued a rule requiring all mammogram reports to include information about breast density so that women can have that conversation with their doctors about whether or not additional screening modalities or screening tests should be performed for that particular patient.

#Arrangoiz #BreastSurgeon #BreastExpert #CancerSurgeon #BreastCancer #CASO #CenterforAdvancedSurgicalOncology
