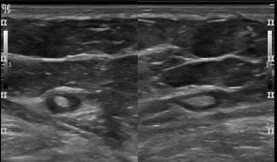
👉A normal axillary lymph node is elliptical in shape (or bean shaped) and has a narrow, symmetrical, hypoechoic cortex surrounding an isoechoic to hyperechoic fatty hilum (Image).

👉The cortex of a normal node is composed largely of lymphatic tissue and fluid-filled cortical sinuses, thus the hypoechoic echogenicity.
👉The hilum contains alternating medullary cords and sinusoids that have innumerable acoustic interfaces, thus the higher degree of echogenicity.
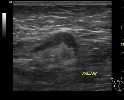
👉When a lymph node is completely replaced with metastatic cancer, it will be rounded, hypoechoic, and the hilum will be completely obliterated. (Image).

👉Before the node reaches the stage of complete replacement, it can have an asymmetric, thickened cortex, with an eccentric hilum (Image).

👉Another presentation of a metastatic node is an asymmetric cortex where the tumor can be seen invading the hilum with convex indentations that look like “rat bites” (Image).

👉A metastatic node can also have severe compression of a central hilum resulting in a slit-like central hyperechoic band (Image).

👉Reactive nodes can be difficult to distinguish from metastatic nodes (Image).

👉In general, benign causes of nodal enlargement tend to thicken the cortex diffusely.
👉In addition, it is not uncommon to have a metastatic node adjacent to a normal node, but all nodes in a region tend to be reactive when the cause is benign.
👉Finally, a reactive node has blood supply on Doppler examination through a single hilum, whereas metastatic nodes tend to have multiple transcapsular vessels (Image).

👉Rodrigo Arrangoiz MS, MD, FACS cirujano oncology y cirujano de mamá de Sociedad Quirúrgica S.C en el America British Cowdray Medical Center en la ciudad de Mexico:
-
Es experto en el manejo del cáncer de mama.

👉Es miembro de la American Society of Breast Surgeons:

Training:
• General surgery:
• Michigan State University:
• 2004 al 2010
• Surgical Oncology / Head and Neck Surgery / Endocrine Surgery:
• Fox Chase Cancer Center (Filadelfia):
• 2010 al 2012
• Masters in Science (Clinical research for health professionals):
• Drexel University (Filadelfia):
• 2010 al 2012
• Surgical Oncology / Head and Neck Surgery / Endocrine Surgery:
• IFHNOS / Memorial Sloan Kettering Cancer Center:
• 2014 al 2016

#Arrangoiz
#Surgeon
#Cirujano
#SurgicalOncologist
#CirujanoOncologo
#BreastSurgeon
#CirujanodeMama
#CancerSurgeon
#CirujanodeCancer





