
- El término nódulo tiroideo se refiere a cualquier crecimiento anormal de las células tiroideas que forman un tumor dentro de la tiroides.
- Aunque la gran mayoría de los nódulos tiroideos son benignos (no cancerosos), una pequeña proporción de estos nódulos sí contienen cáncer de tiroides.
- La mayoría de los nódulos de tiroides necesitan algún tipo de evaluación para diagnosticar y tratar el cáncer de tiroides en estadios tempranos.

- ¿Cuales son los síntomas de un nódulo tiroideo?
- La mayoría de los nódulos tiroideos no causan ningún síntoma.
- Comúnmente, se descubren durante el examen físico de rutina o en estudios de imágenes como un tomografía o ultrasonido del cuello que se realizan por razones no relacionadas con la tiroides.
- Ocasionalmente, los pacientes notan los nódulos de tiroides al notar un bulto en el cuello al mirarse en el espejo, acomodarse el cuello de la camisa, o ajustarse un collar.
- Pruebas de tiroides anormales pueden ocasionalmente ser la causa por la que se descubre un nódulo de tiroides. Los nódulos de tiroides pueden producir cantidades excesivas de hormona tiroidea causando hipertiroidismo.
- Sin embargo, la mayoría de nódulos de tiroides, incluyendo los que son cáncer, usualmente son no funcionales, lo que significa que pruebas como la TSH son normales.
- Raramente, los pacientes con nódulos de tiroides se quejan de dolor en el cuello, la mandíbula o el oído.
- Si el nódulo es lo suficientemente grande para causar presión en la vía respiratoria o el esófago, puede causar dificultad para respirar, tragar o una sensación de cosquilleo en la garganta.
- Mas raramente, puede causar ronquera si el nódulo invade el nervio que controla las cuerdas vocales y usualmente esto pasa en casos de cáncer.
- Los puntos importantes a recordar son:
- Los nódulos de tiroides generalmente no causan síntomas
- Las pruebas de tiroides son usualmente normales:
- Aún cuando el nódulo sea cáncer
- La mejor forma de encontrar un nódulo de tiroides es asegurarse que su doctor le examine el cuello.

-
¿Cuál es la causa de los nódulos tiroides?
- No sabemos cual es la causa de la mayoría de los nódulos de tiroides, pero son extremadamente comunes.
- A la edad de 60 años, casi la mitad de las personas tiene un nódulo de tiroides que puede ser encontrado en el examen físico o por estudios de imágenes. Por fortuna, más de 90% de los nódulos son benignos.
- La tiroiditis de Hashimoto que es la causa más común de hipotiroidismo, está asociada con un riesgo aumentado de nódulos de tiroides.
- La deficiencia de iodo, que es poco común en Estados Unidos, es otra causa de nódulos de tiroides.
-
Rara vez es posible determinar solo con el examen físico y los exámenes de sangre si un nódulo es canceroso, y por eso la evaluación de un nódulo de tiroides con frecuencia requiere de pruebas especializadas como una punción de tiroides con aguja fina, un centellograma tiroideo, y/o una ecografía de la tiroides.

- ¿Como se diagnostica el nódulo tiroideo?
- Una vez se descubre el nódulo de tiroides, el Dr. Arrangoiz determinará si el resto de su glándula tiroides es saludable o si está afectada por una condición más general como hipertiroidismo o hipotiroidismo.
- El Dr. Arrangoiz examinará su tiroides para ver si toda la glándula está agrandada o si hay un nódulo solitario, o múltiples nódulos.
- Estudios de laboratorio iniciales pueden incluir los niveles de hormona de tiroides (tiroxina, T4) y la hormona estimulante de tiroides (TSH) en su sangre para determinar si su tiroides funciona normalmente.
- Ya que usualmente no es posible determinar si un nódulo de tiroides es cáncer solamente con el examen físico y pruebas de laboratorio, la evaluación de nódulos de tiroides incluye exámenes especiales como el ultrasonido de tiroides y la biopsia con aguja fina.

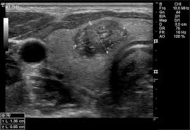
- ULTRASONIDO DE TIROIDES:
- El ultrasonido de tiroides es una herramienta fundamental en la evaluación de nódulos de tiroides.
- Utiliza ondas de sonido de alta frecuencia para obtener una imagen de la tiroides.
- Esta prueba es muy precisa y fácilmente permite determinar si un nódulo es sólido o si está lleno de líquido (cístico), y además permite medir con precisión el tamaño del nódulo.
- El ultrasonido también permite identificar nódulos sospechosos ya que algunas características del ultrasonido son más frecuentes en nódulos con cáncer de tiroides que en nódulos que no son cáncer.
- El ultrasonido de tiroides también permite identificar nódulos que son muy pequeños para detectar en el examen físico. El ultrasonido también se usa para guiar la aguja directamente al nódulo cuando su doctor piensa que una biopsia es necesaria.
- Luego de completar la evaluación inicial, el ultrasonido de tiroides puede usarse para seguir de cerca a los nódulos de tiroides que no requieren cirugía para determinar si estos están creciendo o haciéndose más pequeños con el paso del tiempo.
- El ultrasonido es una prueba no dolorosa que muchos doctores pueden hacer en su oficina.
BIOPSIA DE ASPIRACION DE TIROIDES CON AGUJA FINA:
- El término biopsia de aspiración de tiroides con aguja fina, puede producir temor, pero la aguja que se utiliza es muy pequeña y el uso de un anestésico local puede no ser necesario.
- Este procedimiento sencillo, se realiza con frecuencia en la oficina del médico.
- Algunas veces, los medicamentos anticoagulantes se suspenden por algunos días antes del procedimiento.
- Por lo demás, la biopsia usualmente no requiere ningún otro tipo de preparación especial (no se necesita ayunar).
- Los pacientes usualmente regresan a casa o al trabajo luego de la biopsia sin necesitar tiritas.
- Para su biopsia, su doctor usará una aguja muy delgada para obtener células de su nódulo de tiroides.
- Generalmente, se tomarán algunas muestras de diferentes áreas del nódulo para darle a su doctor mayor oportunidad de encontrar células cancerígenas si es que estas están presentes.
- Las células son luego examinadas bajo el microscopio por un patólogo.
- El reporte de una biopsia con aguja fina de tiroides usualmente indicará uno de los siguientes hallazgos:
- El nódulo es benigno (no cáncer):
- Este resultado se obtiene en casi 80% de las biopsias.
- El riesgo de cáncer cuando la biopsia es benigna es de menos de 3 en 100 biopsias o 3%.
- Este riesgo es aún menor cuando la biopsia se revisa por un patólogo con experiencia en un centro médico grande.
- Generalmente, los nódulos benignos no son removidos a menos que causen síntomas como dificultad para tragar.
- En estos casos, ultrasonidos seriados son importantes.
- Ocasionalmente, se puede requerir otra biopsia en el futuro, especialmente si el nódulo crece con el tiempo.
- El nódulo es maligno (cáncer) o sospechoso para malignidad:
- Un resultado maligno se encuentra en casi 5% de las biopsias y es más frecuentemente debido a cáncer papilar de tiroides, que es el tipo más común de cáncer de tiroides.
- Un resultado sospechoso para malignidad tiene un riesgo de cáncer en el nódulo de 50% al 75%.
- Estos resultados requieren cirugía para remover su tiroides luego de consultar a su endocrinólogo y cirujano de tumores de cabeza y cuello (Dr. Arrangoiz).
- El nódulo es indeterminado:
- Este es en realidad un grupo de varios diagnósticos, que pueden ocurrir hasta en un 20% de los casos.
- Un resultado indeterminado significa que a pesar de que suficientes células fueron removidas de su nódulo durante la biopsia, el examen con el microscopio no permite clasificar el resultado como maligno o benigno.
- La biopsia puede ser indeterminada porque el nódulo se describe como lesión folicular.
- Estos nódulos son cáncer 20% al 30% del tiempo.
- Sin embargo, el diagnóstico sólo se puede hacer con cirugía.
- Debido a que la probabilidad de que el nódulo no sea canceroso es alta (70% al 80%), usualmente solo se remueve con cirugía el lado de la tiroides que tiene el nódulo.
- Si se encuentra cáncer, el resto de la tiroides debe ser removida también.
- Si la cirugía confirma que no hay cáncer, no se necesita sacar el resto de la tiroides.
- La biopsia también puede ser indeterminada porque las células del nódulo tienen características que no permiten clasificarlas en las otras categorías.
- Este diagnóstico se llama atipia, o lesión folicular de significado incierto.
- Estos nódulos raramente tienen cáncer, así que usualmente se recomienda una segunda biopsia o una operación quirúrgica para remover el lado de la tiroides que contiene el nódulo.
- La biopsia puede ser no-diagnóstica o inadecuada:
- Este resultado se obtiene en menos de 5% de los casos, cuando se usa ultrasonido para guiar la biopsia.
- Este resultado indica que no se obtuvieron suficientes células para hacer un diagnóstico, pero es un resultado común cuando el nódulo es un quiste.
- Estos nódulos pueden requerir una segunda evaluación con una nueva biopsia, o pueden ser removidos con cirugía dependiendo de la recomendación de su médico.
- El nódulo es benigno (no cáncer):
- GAMAGRAMA DE TIROIDES
- El gamagrama de tiroides era comúnmente utilizado en el pasado para evaluar nódulos de tiroides.
- Sin embargo, el ultrasonido de tiroides y biopsia han probado ser muy precisos y sensibles para la evaluación de los nódulos de tiroides, haciendo que el centelleo de tiroides no se considere de primera línea para la evaluación.
- El gamagrama de tiroides, es importante para la evaluación de nódulos raros que causan hipertiroidismo.
- En esos casos, el examen de medicina nuclear de la tiroides puede sugerir que los nódulos no requieren biopsia ni otras evaluaciones.
- En la mayoría de las otras situaciones, el ultrasonido de tiroides y la biopsia son las mejores y más precisas pruebas para evaluar todos los nódulos de tiroides.
- PRUEBAS DIAGNOSTICAS MOLECULARES:
- ¿Pueden otras pruebas ayudar en la evaluación de nódulos de tiroides?
- Si, se han desarrollado nuevas pruebas que examinan los genes en el DNA de los nódulos de tiroides y otras están en desarrollo.
- Estas pruebas pueden proporcionar información importante sobre la presencia o ausencia de cáncer.
- Estas pruebas son de particular ayuda cuando el espécimen evaluado por el patólogo es indeterminado.
- Estas pruebas especializadas se hacen en muestras que se obtienen durante el proceso regular de la biopsia.
- Existen también pruebas especiales de sangre que pueden asistir en el diagnóstico de nódulos de tiroides.
- Estas pruebas están disponibles sólo en centros altamente especializados, pero su disponibilidad está aumentado rápidamente.
- Pregúntele a su médico si estas pruebas están disponibles y si serían de ayuda para la evaluación de su nódulo de tiroides.
- ¿Pueden otras pruebas ayudar en la evaluación de nódulos de tiroides?
- ¿Como se tratan los nódulos tiroides?
- Todos los nódulos de tiroides que tienen cáncer o que son altamente sospechosos de cáncer deben ser removidos por un cirujano experto de tiroides.
- La mayoría de los canceres de tiroides son curables y rara vez causan problemas que amenazan la vida.
- Los nódulos de tiroides que son benignos o que son muy pequeños para hacerles biopsia deben ser seguidos con ultrasonido cada 6-12 meses, y un examen físico anual por su médico.
- También, aún cuando la biopsia sea benigna, se le podrá recomendar cirugía para sacar el nódulo si este sigue creciendo, o si desarrolla características de riesgo en el ultrasonido.
- Rodrigo Arrangoiz MS, MD, FACS miembro de Sociedad Quirúrgica S.C. es experto en el manejo de la patología de la glándula tiroides:

-
- El Dr. Arrangoiz tiene entrenamiento en:
- Cirugía de tumores de cabeza y cuello, cirugía endocrina, y cirugía oncológica.
- El Dr. Arrangoiz tiene entrenamiento en:
- Es pionero en México de la:
- Cirugia tiroidea minimamente invasiva
- La cirugia minimamente invasiva radio-guiada de paratiroides
- Su entrenamiento es el siguiente:
- Tumores de Cabeza y Cuello / Cirugía Endocrina – Fox Chase Cancer Center

- Tumores de Cabeza y Cuello / Cirugía Endocrina – IFHNOS / Memorial Sloan Kettering Cancer Center
- Cirugía Oncológica Compleja – Fox Chase Cancer Center

- Cirugia General y Gastrointestinal:
- Michigan State University

- Maestría en Ciencias de InvestigaciónDrexel University

- El Dr. Arrangoiz esta certificado por:
- El Colegio Americano de Cirugía

- Es fellow de la Sociedad de Cirugia Oncológica:

- Miembro de la American Thyroid Association:



