Ameloblastoma

The ameloblastoma is a benign odontogenic tumor of epithelial origin that exhibits a locally aggressive behavior with a high level of recurrence, being believed theoretically to come from:

  • Dental lamina remains, the enamel organ in development, epithelial cover of odontogenic cysts or from the cells of the basal layer of the oral mucosa.

Especially larger, aggressive lesions require a more radical surgical approach resulting in large jaw defects.

Of all swellings of the oral cavity:

  • 9% are odontogenic tumors and within this group:

    • Ameloblastoma accounts for 1% of lesions

The WHO defines it as a locally invasive polymorphic neoplasia that often has a follicular o plexiform pattern in a fibrous storm:

  • Its behavior has been described as being benign but locally aggressive.

  • In 20% of all cases the tumor can be found in the upper jaw, predominantly in the canine or molar region.

  • Within the mandible (80% of the cases):

    • 70% are located in the molar region or the ascending ramus

    • 20% in the premolar region

    • 10% in the anterior part. 

  • Ameloblastomas occur with equal frequency in both genders.

  • The age range is usually between the first and the seventh decade of life with a mean in the fourth decade.

Clinically, ameloblastomas can be classified into 4 groups:

  • Uni cystic

  • Solid or multi cystic

  • Peripheral

  • Malignant

The unicystic ameloblastoma usually appears as a “cystic” lesion with either an intraluminal or an intramural proliferation of the cystic lining:

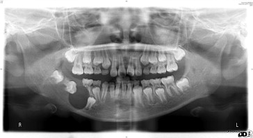
  • Radiographically, it may resemble a well-circumscribed slow-growing radiolucency.

1-s2.0-S1991790213000792-gr1

Unknown

Unknown-1

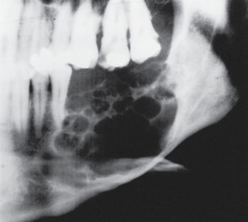
Multicystic ameloblastoma can infiltrate into the adjacent tissue and has the ability to recur and even metastasize:

  • Its prevalence is a slightly older age group than the unicystic ameloblastoma.

  • Radiographically, the appearance is generally unilocular or multilocular.

Fig-4-Solid-recurrent-multicystic-ameloblastoma-with-erosion-of-the-buccal-lingual079

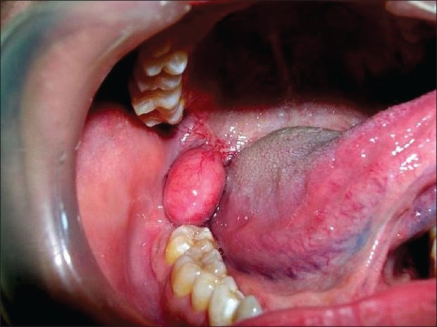
Peripheral ameloblastoma mostly appears in the alveolar mucosa.

  • It is a soft-tissue version of an ameloblastoma but can also involve the underlying bone.

UnknownNatlJMaxillofacSurg_2013_4_2_245_127662_f2

The malignant ameloblastoma is a rare entity.

  • It is defined as an ameloblastoma that has already metastasized but still maintains its classical microscopic features.

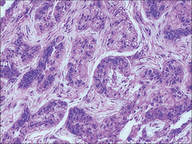
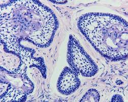
A histological classification subdivides ameloblastoma into:

  • Follicular ameloblastoma

Unknown

  • Plexiform ameloblastoma

Unknown-1

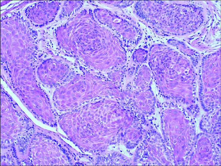
  • Acanthomatous ameloblastoma

acanthomatous-ameloblastoma-There-central-cells-show-more-mature-squamous

  • Granular ameloblastoma

JPharmBioallSci_2015_7_5_276_155955_u2

In most cases the tumor is asymptomatic, presenting as an incidental finding on orthopantomography.

  • The most common symptoms are facial swelling, pain, malocclusion, loosening of teeth, ill-fitting dentures, periodontal diseases or ulceration, oroantral fistulas and nasal airway obstruction.

Recurrence rates of ameloblastoma are reportedly as high as 15% to 25% after radical treatment and 75% to 90% after conservative treatment.

  • Therefore, wide resection of the jaw in accordance with the treatment of malignant tumors is usually recommended for ameloblastomas.

Rodrigo Arrangoiz MS, MD, FACS a head and neck surgeon and is amember of Sociedad Quirúrgica S.C at the America British Cowdray Medical Center.

He is first author on some publications on oral cavity cancer:

Training:

• General surgery:

• Michigan State University:

• 2004 al 2010

• Surgical Oncology / Head and Neck Surgery / Endocrine Surgery:

• Fox Chase Cancer Center (Filadelfia):

• 2010 al 2012

• Masters in Science (Clinical research for health professionals):

• Drexel University (Filadelfia):

• 2010 al 2012

• Surgical Oncology / Head and Neck Surgery / Endocrine Surgery:

• IFHNOS / Memorial Sloan Kettering Cancer Center:

• 2014 al 2016

Leave a comment