Biopsia por Aspiración con Aguja Fina (BAAF) en Neoplasia de Células de Hürthle

Unknown

El análisis citológico de las muestras de aspiración con aguja fina (BAAF) puede diagnosticar la neoplasia de células de Hürthle en la mayoría de los pacientes. Sin embargo, la BAAF no puede diferenciar el adenoma de células de Hürthle del carcinoma de células de Hürthle, porque no permite la evaluación de la invasión vascular y / o capsular, que son los dos factores principales que diferencian el carcinoma del adenoma.

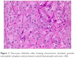
En un estudio de 139 lesiones de células de Hürthle, Elliott et al descubrieron que la presencia de las cuatro características citológicas siguientes identificaba correctamente la neoplasia de células de Hürthle en el 86% de los casos:

  • Arquitectura no macro folicular

  • Ausencia de coloide

  • Ausencia de inflamacion

  • Presencia de vasos sanguíneos transgresores

Unknown-1

La matriz de expresión de microRNA ha identificado nuevos marcadores de diagnóstico en muestras de BAAF para carcinomas foliculares de tiroides oncocíticos y convencionales.

  • En este estudio, el nuevo miR-885-5p estaba fuertemente regulado al alza (> 40 veces) en los carcinomas foliculares oncocíticos en comparación con los carcinomas foliculares convencionales, los adenomas foliculares y los nódulos hiperplásicos.

Una prueba que mide la expresión de 167 genes puede ayudar a determinar si un nódulo tiroideo indeterminado desde el punto de vista citológico es benigno y, por lo tanto, puede considerarse un tratamiento más conservador.

  • En su estudio de 265 nódulos indeterminados de 1 cm o más, Alexander et al informaron que las pruebas del clasificador de expresión génica identificaron correctamente 78 de 85 nódulos como sospechosos (92% de sensibilidad; 52% de especificidad).

  • El valor predictivo negativo de neoplasia o lesión folicular fue del 94%.

  • El análisis de los aspirados con resultados falsos negativos mostró que seis de los siete tenían una escasez de células foliculares tiroideas, lo que sugiere un muestreo insuficiente del nódulo.

  • En este estudio, se presentaron 10 nódulos de células de Hurthle malignos y 9 se identificaron correctamente como malignos (90%).

  • Veintiuno eran adenomas benignos de células de Hurthle, y 17 de ellos fueron identificados correctamente (81%).

Un estudio realizado por Donatini y otros concluyó que el índice de proliferación celular (Ki-67) y GRIM-19, una proteína involucrada en la proliferación celular y la apoptosis, son marcadores citológicos potenciales de malignidad en el carcinoma de células de Hürthle.

  • En comparación con los adenomas, los carcinomas mostraron una elevación de Ki-67 (p = 0,0004) y una expresión reducida de GRIM-19 (p = 0,005).

Sin embargo, hasta que se disponga de métodos más precisos para diferenciar los nódulos benignos de los malignos, todos los pacientes con el diagnóstico citológico de un tumor de células de Hürthle deben proceder a la cirugía para asegurarse de que los carcinomas se identifiquen y manejen adecuadamente. Además, al igual que con cualquier otra neoplasia tiroidea, se debe tener en cuenta el tamaño del tumor, la calcificación, la ecogenicidad y la vascularidad al considerar realizar una hemitiroidectomía o una tiroidectomía total, o elegir la observación.

Sociedad Quirúrgica S.C. tiene un socio experto en el manejo del cáncer de tiroides con el entrenamiento sugerido por el Dr. Ashok Shaha de Memorial Sloan Kettering Cancer Center:

Dr. Rodrigo Arrangoiz MS, MD, FACS

Su entrenamiento fue el siguiente:
• Cirugia general y gastrointestinal:
• Michigan State University:
• 2004 al 2010

image-48

• Cirugia oncológica / tumores de cabeza y cuello / cirugia endocrina:
• Fox Chase Cancer Center (Filadelfia):
• 2010 al 2012

image-39

• Maestria en ciencias (Clinical research for health professionals):
• Drexel University (Filadelfia):
• 2010 al 2012

image-50

• Cirugia de tumores de cabeza y cuello / cirugia endocrina
• IFHNOS / Memorial Sloan Kettering Cancer Center:
• 2014 al 2016
 

image-51

Leave a comment