Carcinoma de Células de Hürthle

El carcinoma de células de Hürthle de la glándula tiroides es un tipo inusual y relativamente raro de cáncer de tiroides diferenciado. El cáncer de células de Hürthle representa solo alrededor del 3% al 10% de todos los cánceres de tiroides diferenciados; por lo tanto, pocas instituciones tienen una amplia experiencia con las neoplasias de células de Hürthle. Según la Organización Mundial de la Salud (OMS), estas neoplasias se consideran una variante del carcinoma folicular de la tiroides y se conocen como carcinoma folicular, de tipo oxifílico.

38321tn
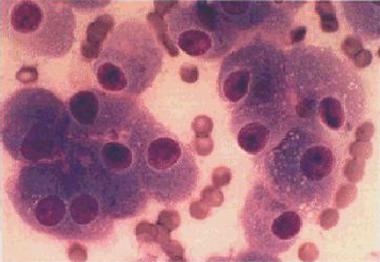
Una población de células monomorfas de células de Hürthle dispuestas en grupos sin unión y células unificadas. Las células son poliédricas y tienen abundante citoplasma granular con bordes celulares bien definidos. Los núcleos están agrandados y tienen un macronucleolo prominente central.

Algunos investigadores creen que esta condición es distinta de otras neoplasias de células foliculares. Las células de Hürthle se observan en condiciones neoplásicas y no neoplásicas de la glándula tiroides (tiroiditis de Hashimoto, bocio nodular y tóxico). 

Las células oncocíticas en la tiroides a menudo se llaman células de Hürthle, y el cambio oncocítico se define como un agrandamiento celular caracterizado por un abundante citoplasma granular eosinofílico como resultado de la acumulación de mitocondrias alteradas. Este es un fenómeno de metaplasia que ocurre en trastornos inflamatorios, como tiroiditis u otras situaciones que resultan en estrés celular. La proliferación de oncocitos da lugar a nódulos hiperplásicos y neoplásicos. Las características citológicas de las neoplasias de células de Hürthle son hipercelularidad con predominio de células de Hürthle (generalmente > 75%), pocos o ningún linfocito y coloide escaso o ausente.

Las células de Hürthle fueron descritas por primera vez por Askanasy en 1898, en pacientes con enfermedad de Graves; sin embargo, estas células fueron nombradas erróneamente por el fisiólogo alemán Karl Hürthle, quien en realidad describió las células C interfoliculares. Las células de Hürthle son grandes y de forma poligonal, con bordes celulares distintos. Tienen un gran núcleo hipercromático pleomorfo, un núcleo prominente y un citoplasma granular fino, rosado intenso con tinción de hematoxilina-eosina.

Las células de Hürthle también se encuentran en otros tejidos, como la glándula salival, la paratiroides, el esófago, la faringe, la laringe, la tráquea, el riñón, la pituitaria y el hígado. Existe controversia sobre el origen de las células de Hürthle, que generalmente se cree que se derivan del epitelio folicular.

Una neoplasia de células de Hürthle se define generalmente como una lesión tiroidea encapsulada que comprende al menos un 75% de células de Hürthle. Una neoplasia benigna no se puede distinguir de una neoplasia maligna sobre la base del análisis citológico de la biopsia por aspiración con aguja fina (BAAF). También se observan características como pleomorfismo, anaplasia, hipercromatismo y atipia en los adenomas foliculares benignos; por lo tanto, la diferenciación definitiva del carcinoma de células de Hürthle del adenoma de células de Hürthle se basa en la invasión vascular y / o en la invasión capsular, así como en las secciones histológicas permanentes o la diseminación de tumores extratiroideos y las ganglios linfáticos y las metástasis sistémicas.

En la literatura, la incidencia de neoplasias malignas en las neoplasias de células de Hürthle es variable, y varía de 13% a 67%. En general, solo alrededor del 33% de los tumores de células Hürthle muestran signos de un crecimiento invasivo que indica malignidad y la posibilidad de metástasis. En general, se puede considerar que los tumores de células de Hürthle tienen más probabilidades de metastatizar que los tumores foliculares. La probabilidad de metástasis nodales es mayor en los tumores de células de Hürthle que en los tumores foliculares; sin embargo, no es tan grande como con los tumores papilares.

El tamaño del tumor es una característica importante para el comportamiento biológico. Un estudio de 1988 encontró que un tumor de Hürthle que mide 4 cm o más tiene un 80% de probabilidad de evidencia histológica de malignidad. En otro estudio realizado por Pisanu et al, en una serie de 23 pacientes, el tamaño medio del tumor fue significativamente mayor para los carcinomas que para los adenomas (3.1 cm versus 1.9 cm).

En otro estudio realizado en el centro de cáncer Memorial Sloan-Kettering, se analizaron los resultados de 56 pacientes con cáncer de células de Hürthle. En este estudio, la recurrencia fue un predictor significativo de la mortalidad relacionada con el tumor, y el predictor más significativo del resultado fue el grado de invasión. Además, se encontró que el tamaño del tumor, la extensión de la enfermedad extratiroidea y la metástasis nodales o distantes iniciales estaban asociados con un resultado adverso. 

El cáncer de células de Hürthle tiene la mayor incidencia de metástasis entre los cánceres de tiroides diferenciados. La enfermedad metastásica se reporta en el momento del diagnóstico inicial en el 10% al 20% de los pacientes y en el 34% de los pacientes en general. La metástasis generalmente ocurre de forma hematógena, pero la metástasis de los ganglios linfáticos tampoco es infrecuente y, por lo general, afecta a los ganglios linfáticos regionales. Algunos estudios sugieren que las metástasis en los ganglios linfáticos en el diagnóstico inicial pueden no ser un factor pronóstico desfavorable. Los pulmones, los huesos y el sistema nervioso central son los sitios más frecuentes de metástasis.

Sociedad Quirúrgica S.C. tiene un socio experto en el manejo del cáncer de tiroides con el entrenamiento sugerido por el Dr. Ashok Shaha de Memorial Sloan Kettering Cancer Center:

Dr. Rodrigo Arrangoiz MS, MD, FACS

Su entrenamiento fue el siguiente:
• Cirugia general y gastrointestinal:
• Michigan State University:
• 2004 al 2010

image-48

• Cirugia oncológica / tumores de cabeza y cuello / cirugia endocrina:
• Fox Chase Cancer Center (Filadelfia):
• 2010 al 2012

image-39

• Maestria en ciencias (Clinical research for health professionals):
• Drexel University (Filadelfia):
• 2010 al 2012

image-50

• Cirugia de tumores de cabeza y cuello / cirugia endocrina
• IFHNOS / Memorial Sloan Kettering Cancer Center:
• 2014 al 2016
 

image-51

Leave a comment