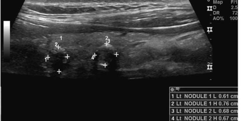
👉Thyroid cancers less than 1 cm in size are called “microcarcinomas”.



- Rodrigo Arrangoiz MS, MD, FACS miembro de Sociedad Quirúrgica S.C. es experto en el manejo de la patología de la glándula tiroides:
-
- El Dr. Arrangoiz tiene entrenamiento en:
- Cirugía de tumores de cabeza y cuello, cirugía endocrina, y cirugía oncológica.
- Es pionero en México de la:
- Cirugia tiroidea minimamente invasiva
- La cirugia minimamente invasiva radio-guiada de paratiroides
- Su entrenamiento es el siguiente:
- Tumores de Cabeza y Cuello / Cirugía Endocrina – Fox Chase Cancer Center

- Tumores de Cabeza y Cuello / Cirugía Endocrina – IFHNOS / Memorial Sloan Kettering Cancer Center
- Cirugía Oncológica Compleja – Fox Chase Cancer Center

- Cirugia General y Gastrointestinal:
- Michigan State University

- Maestría en Ciencias de InvestigaciónDrexel University

- El Dr. Arrangoiz esta certificado por:
- El Colegio Americano de Cirugía

- Es fellow de la Sociedad de Cirugia Oncológica:

- Miembro de la American Thyroid Association:

Av. Carlos Graef Fernández #154
Col. Tlaxala, Delg. Cuajimalpa
Tel: 1103 – 1600 Ext 4515 a la 4517
rodrigo.arrangoiz@gmail.com
Published by Rodrigo Arrangoiz MS, MD, FACS, FSSO
My name is Rodrigo Arrangoiz I am a breast surgeon/ thyroid surgeon / parathyroid surgeon / head and neck surgeon / surgical oncologist that works at Center for Advanced Surgical Oncology in Miami, Florida.
I was trained as a surgeon at Michigan State University from (2005 to 2010) where I was a chief resident in 2010. My surgical oncology and head and neck training was performed at the Fox Chase Cancer Center in Philadelphia from 2010 to 2012. At the same time I underwent a masters in science (Clinical research for health professionals) at the University of Drexel. Through the International Federation of Head and Neck Societies / Memorial Sloan Kettering Cancer Center I performed a two year head and neck surgery and oncology / endocrine fellowship that ended in 2016.
Mi nombre es Rodrigo Arrangoiz, soy cirujano oncólogo / cirujano de tumores de cabeza y cuello / cirujano endocrino que trabaja Center for Advanced Surgical Oncology en Miami, Florida.
Fui entrenado como cirujano en Michigan State University (2005 a 2010 ) donde fui jefe de residentes en 2010. Mi formación en oncología quirúrgica y e n tumores de cabeza y cuello se realizó en el Fox Chase Cancer Center en Filadelfia de 2010 a 2012. Al mismo tiempo, me sometí a una maestría en ciencias (investigación clínica para profesionales de la salud) en la Universidad de Drexel. A través de la Federación Internacional de Sociedades de Cabeza y Cuello / Memorial Sloan Kettering Cancer Center realicé una sub especialidad en cirugía de cabeza y cuello / cirugia endocrina de dos años que terminó en 2016.
View all posts by Rodrigo Arrangoiz MS, MD, FACS, FSSO